ประสบการณ์ฟอกสีฟัน
ที่กว้างขวาง
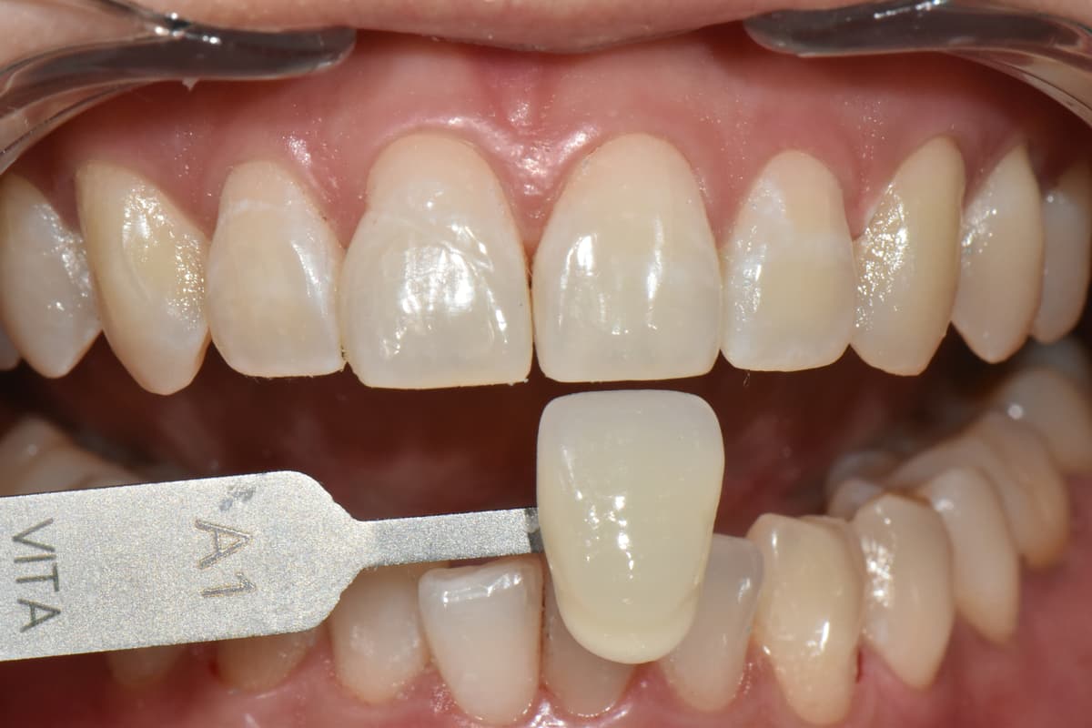
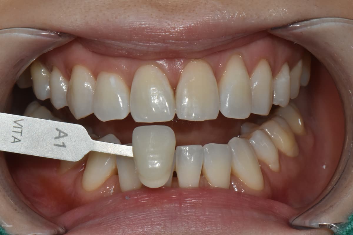
ฟอกสีฟันไม่เสียวฟัน ปลอดภัย
รับประสบการณ์ที่มีประสิทธิภาพ
10
ปี+
ประสบการณ์เฉพาะทางฟอกสีฟัน
1,000
เคส+
จำนวนเคสที่ทำ
4.9
/ 5.0
ความพึงพอใจของผู้ป่วย
จาก Naver, Kakao, Google Maps
“
ฟันของคุณ
เป็นอย่างไรบ้าง?
หากมีพฤติกรรมเหล่านี้ต่อเนื่อง
ฟันจะเปลี่ยนเป็นสีเหลือง
กาแฟ
กาแฟที่ดื่มทุกวัน ทำให้ฟันเหลือง
การสูบบุหรี่
นิโคตินและน้ำมันดิน เป็นสาเหตุหลักของฟันเปลี่ยนสี
ไวน์
แทนนินในไวน์แดง ทำให้เกิดคราบบนฟัน
VIDEO GUIDE
ทุกอย่างเกี่ยวกับการฟอกสีฟัน
ดูได้ในวิดีโอ
วิดีโอจะเพิ่มเร็วๆ นี้
PROFESSIONAL WHITENING
การฟอกสีฟันโดยผู้เชี่ยวชาญ
ไฮโดรเจนเปอร์ออกไซด์
สัมผัสการฟอกสีฟันที่ปลอดภัยและมีประสิทธิภาพ
ด้วยน้ำยาฟอกสีฟันเข้มข้นระดับทางการแพทย์
ระบบฟอกสีฟัน Aladdin + W-Gel Professional
สัมผัสการฟอกสีฟันระดับพรีเมียม รวดเร็วและปลอดภัย
ด้วยระบบฟอกสีฟันมืออาชีพที่ได้รับการรับรองจาก FDA สหรัฐฯ

W-Gel™ Multifunctional Whitening Gel
ชนิดกระบอกเจลเข้มข้น: ออกแบบให้ทาได้แม่นยำ ไม่ไหลเลอะ
โปรโตคอล 10 นาที x 3 รอบ: ระยะเวลาการใช้ที่เหมาะสมที่สุดตามหลักวิทยาศาสตร์
กลิ่นส้มสดชื่น: ลดความไม่สบายของผู้ป่วยระหว่างการรักษา

Aladdin® Tooth Bleaching System
Triple 5W LED: ฟอกสีฟันได้เร็วและมีประสิทธิภาพด้วย LED 3 ดวงกำลังสูง
ควบคุมความเข้ม 3 โซน: ปรับความเข้มได้เฉพาะบริเวณ ซ้าย/กลาง/ขวา
เทคโนโลยีเฉพาะฟันกราม: ปรับปรุงเงาดำบริเวณฟันเขี้ยวและฟันกรามน้อยได้อย่างมีประสิทธิภาพ
ระบบระบายความร้อนเงียบ: สภาพแวดล้อมการรักษาที่สบายและยืดอายุ LED
หลักการรักษา
ไฮโดรเจนเปอร์ออกไซด์เข้มข้นสูงระดับทางการแพทย์ (15%) ซึมผ่านเคลือบฟัน และออกซิไดซ์-สลายโมเลกุลคราบสีภายในเนื้อฟัน
ในกระบวนการนี้ สารคราบสีจะถูกแปลงเป็นโมเลกุลเล็กๆ ไม่มีสี ทำให้ฟันขาวขึ้นอย่างเป็นธรรมชาติ

ขั้นตอนการรักษา
1
ทาสารป้องกันเหงือก (ป้องกันเหงือกเสียหาย)
2
ทาน้ำยาฟอกสีฟันเข้มข้น
3
ฉายแสง LED (15-20 นาที)
4
ทำซ้ำ 2-3 รอบ (เสร็จภายในวันเดียว)
5
เคลือบฟลูออไรด์เป็นขั้นตอนสุดท้าย
ไม่กรอฟัน
ไม่ทำลายเคลือบฟัน
เห็นผลทันที
ขาวขึ้น 2-8 ระดับหลังรักษา
สีธรรมชาติ
ปรับโทนสีฟันตามธรรมชาติ
ทำไมต้องฟอกสีฟันกับผู้เชี่ยวชาญ?
ความปลอดภัยที่ได้รับการยอมรับจากทันตแพทย์ทั่วโลก
การฟอกสีฟันเป็นวิธีการรักษาฟันที่ปลอดภัยที่สุดที่ได้รับการยอมรับจากทันตแพทย์ทั่วโลก การวิจัยและการทดลองทางคลินิกจำนวนมากพิสูจน์ความปลอดภัยแล้ว และการฟอกสีฟันโดยผู้เชี่ยวชาญภายใต้การดูแลของทันตแพทย์แทบไม่มีรายงานผลข้างเคียงต่อฟันจนถึงปัจจุบัน
ฟอกสีฟันมืออาชีพ
ฟอกสีฟันเอง
ความเข้มข้นสูง 15%
ได้รับอนุมัติ อย.ระดับทางการแพทย์
ความเข้มข้นต่ำ 1-4%
ประสิทธิภาพน้อย
ภายในวันเดียว
ขาวขึ้น 3-4 ระดับ
มากกว่า 4 สัปดาห์
ค่อยๆ เห็นผลเล็กน้อย
ตรวจสุขภาพช่องปากก่อน
+ เคลือบฟลูออไรด์
ทำเอง
เสี่ยงเหงือกไหม้
การจัดการผลข้างเคียงอย่างเป็นระบบ
ตรวจก่อนรักษา: ตรวจฟันผุและโรคเหงือกก่อนดำเนินการอย่างปลอดภัย
ปกป้องเหงือก: ป้องกันเนื้อเยื่ออ่อนไหม้ 100% ด้วยสารป้องกันทางการแพทย์
ดูแลหลังรักษา: ลดอาการเสียวฟันด้วยการเคลือบฟลูออไรด์และรีมิเนอรัลไลเซชัน
การติดตามโดยผู้เชี่ยวชาญ: การฟอกสีฟันที่ปลอดภัยด้วยการตรวจสอบสถานะแบบเรียลไทม์
ประสบการณ์ทางคลินิกที่หลากหลาย
ด้วยประสบการณ์การฟอกสีฟันมากกว่า 1,000 เคส เรามีความชำนาญในสภาพฟันหลากหลายประเภท เราวางแผนการฟอกสีฟันเฉพาะบุคคลโดยพิจารณาระดับคราบสี ความไวของฟัน และงานทันตกรรมบูรณะที่มีอยู่
คำถามที่พบบ่อย
PROFESSIONAL VS SELF
ความแตกต่างระหว่างฟอกสีฟันเอง
กับฟอกสีฟันโดยผู้เชี่ยวชาญ
น้ำยาฟอกสีฟันที่คลินิกทันตกรรมใช้คือ ไฮโดรเจนเปอร์ออกไซด์
เข้มข้นสูงที่จัดเป็นยา
หากสัมผัสเหงือกอาจเกิดความเสียหายได้ ดังนั้นผู้เชี่ยวชาญ
จะทำการปกป้องอย่างสมบูรณ์ก่อนรักษาจึงปลอดภัยกว่า
และเห็นผลทันที
ฟอกสีฟันเอง
น้ำยาความเข้มข้นต่ำ
เป็นยาทั่วไป ผลลัพธ์จำกัด
เห็นผลช้า
ใช้เวลาหลายสัปดาห์ถึงหลายเดือน
เสี่ยงต่อความปลอดภัย
หากใช้ผิดวิธีอาจทำให้เหงือกเสียหาย
ผลลัพธ์ไม่สม่ำเสมอ
ฟอกสีได้ไม่เท่ากัน
ฟอกสีฟันโดยผู้เชี่ยวชาญ
ยาเข้มข้นสูง
ไฮโดรเจนเปอร์ออกไซด์ระดับมืออาชีพให้ผลลัพธ์ที่ดี
เห็นผลทันที
เห็นการเปลี่ยนแปลงชัดเจนภายใน 1-3 ชั่วโมง
ปลอดภัย 100%
ป้องกันความเสียหายด้วยมาตรการปกป้องเหงือก
ฟอกสีสม่ำเสมอ
การรักษาที่แม่นยำโดยผู้เชี่ยวชาญ
COMPARISON
การรักษาแบบไหน
เหมาะกับฉัน?
เปรียบเทียบสองตัวเลือก
เปรียบเทียบตัวเลือกฟอกสีฟัน
| ฟอกสีฟัน ไฮโดรเจนเปอร์ออกไซด์ | ลามิเนต | |
|---|---|---|
| ระยะเวลา | 1-2 ชั่วโมง (เสร็จในวันเดียว) | มา 2-3 ครั้ง (1-2 สัปดาห์) |
| ความคงทน | 1-2 ปี (ยืดได้ถ้าดูแล) | 10-15 ปี (กึ่งถาวร) |
| การกรอฟัน | ไม่มี (0 มม.) | กรอน้อยมาก (0.3 มม.) |
| ราคา | 200,000-300,000 วอน (ทั้งปาก) | 500,000-800,000 วอน ต่อซี่ |
| แนะนำ | สำหรับผู้ต้องการ ฟอกสีฟันธรรมชาติ | สำหรับผู้ต้องการ ฟันสมบูรณ์แบบ |
| ข้อควรระวัง | หลีกเลี่ยงอาหาร มีสี 24 ชม. | ระวังอาหาร แข็ง |
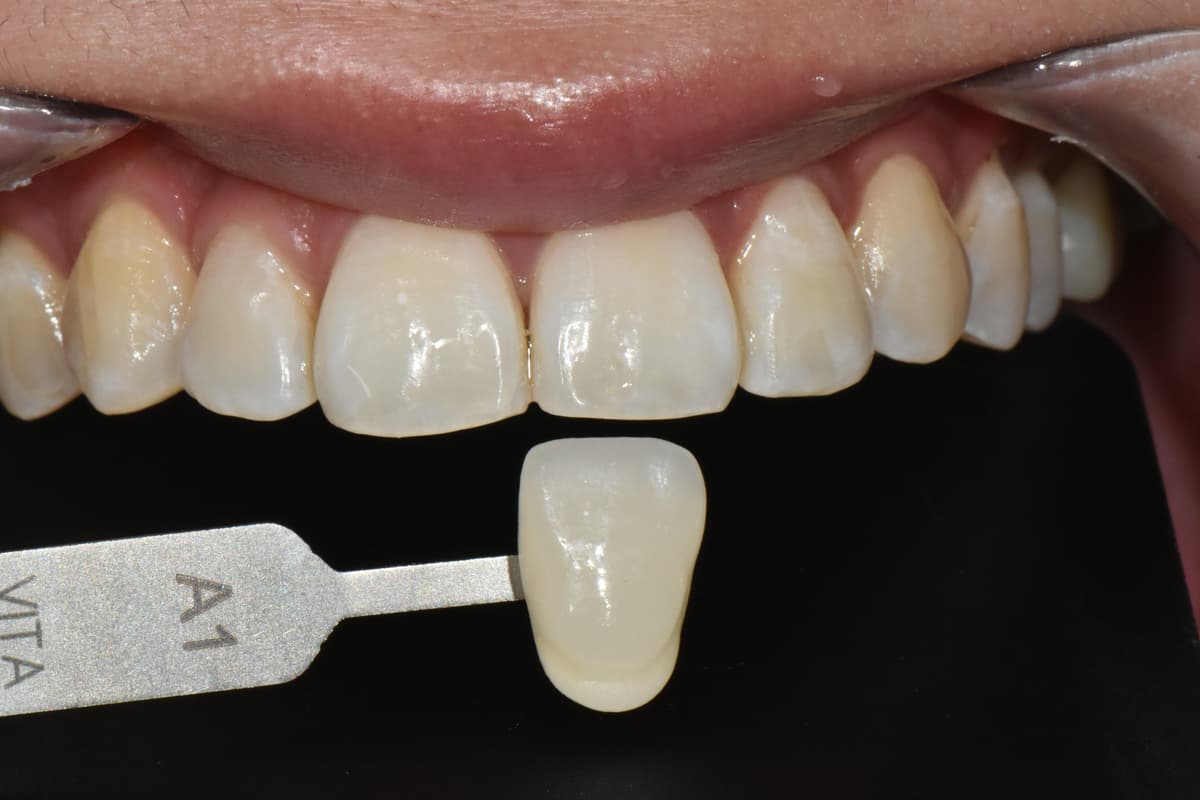
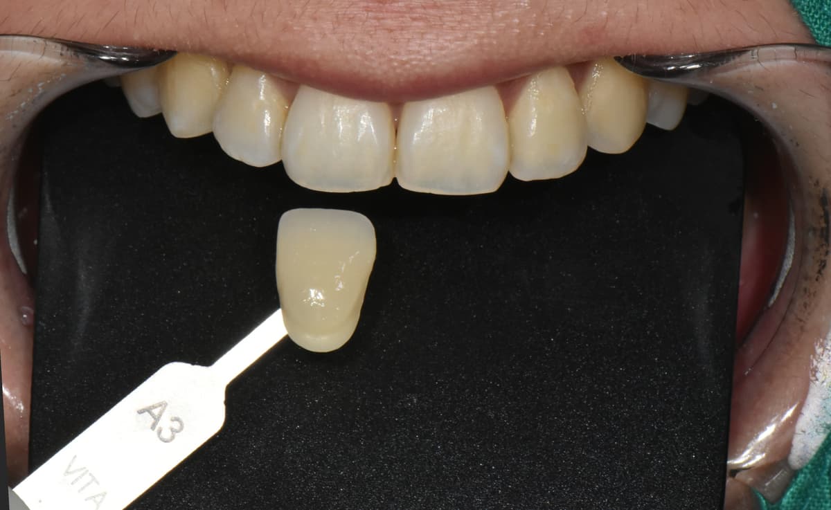
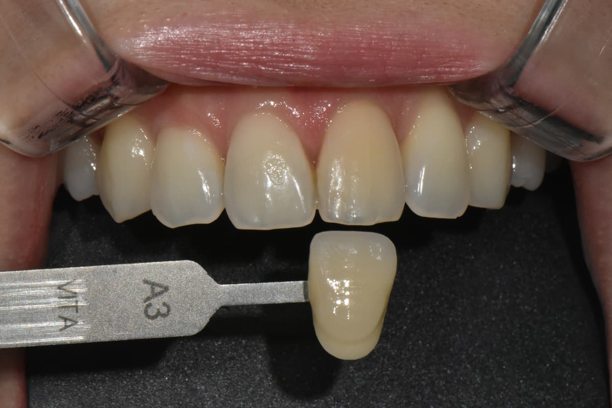
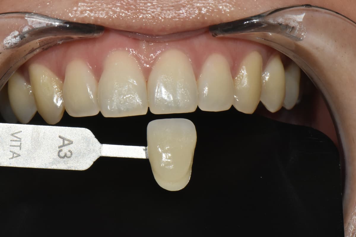
CASE STUDY
ความพิเศษของการฟอกสีฟัน Yonsei Ona
เคสการรักษาจริง
ผลลัพธ์ที่พิสูจน์แล้วด้วยการฟอกสีฟันมากกว่า 1,000 เคส

After

After

After
ผู้เชี่ยวชาญ 5 ท่านจากมหาวิทยาลัยยอนเซ
ทีมแพทย์ระดับสูงสุด
ยอนเซ อนอา เดนทัล

김유성
ผู้อำนวยการใหญ่ · ผู้อำนวยการโรงพยาบาลปัจจุบัน) อาจารย์แพทย์คลินิก มหาวิทยาลัยยอนเซ
ผู้เชี่ยวชาญด้านทันตกรรมประดิษฐ์ รับรองโดยกระทรวงสาธารณสุข
ผู้เชี่ยวชาญด้านทันตกรรมบูรณาการ รับรองโดยกระทรวงสาธารณสุข
- ปัจจุบัน) ผู้อำนวยการ โรงพยาบาลทันตกรรมยอนเซ อนอา
- จบการศึกษาจากวิทยาลัยทันตแพทยศาสตร์ มหาวิทยาลัยยอนเซ
- ห้องรักษาผู้ป่วยใน โรงพยาบาลทันตกรรม มหาวิทยาลัยยอนเซ
- แพทย์ฝึกหัด โรงพยาบาลทันตกรรม มหาวิทยาลัยยอนเซ
- แพทย์ประจำบ้าน โรงพยาบาลทันตกรรม มหาวิทยาลัยอาจู
- ปริญญาโท สาขารากฟันเทียมและทันตกรรมประดิษฐ์ มหาวิทยาลัยอาจู
- แพทย์ผู้รับรองสาขาทันตกรรมประดิษฐ์ (รับรองโดยกระทรวงสาธารณสุข)
- ที่ปรึกษาทางการแพทย์ Taiwan Bio tech
- สิทธิบัตรการฝังรากฟันเทียม หมายเลข 10-2537546
- อยู่ระหว่างยื่นจดทะเบียนเครื่องเย็บลวดทันตกรรม
- Advanced Cardiac Life Support provider(ACLS)
- ใบรับรองการช่วยชีวิตขั้นสูง
- สำเร็จหลักสูตร Digital Master สมาคมทันตกรรมประดิษฐ์เกาหลี
- Externship โรงพยาบาลทันตกรรม UCLA
- สถาบันรับรองการบำบัดข้อต่อขากรรไกร
- สำเร็จการอบรมความผิดปกติข้อต่อขากรรไกร
- สมาชิกสามัญ สมาคมวิจัยและศึกษาความผิดปกติข้อต่อขากรรไกร
- สมาชิกสามัญ สมาคมทันตกรรมประดิษฐ์เกาหลี
- สมาชิกสามัญ สมาคมรากฟันเทียมช่องปากและใบหน้าเกาหลี
- สมาชิกสามัญ สมาคมทันตกรรมเพื่อความงามเกาหลี
- สมาชิกสามัญ สมาคมทันตกรรมอนุรักษ์เกาหลี
- อดีต) รองผู้อำนวยการ Boryeong Hana Plant
- อดีต) รองผู้อำนวยการ Ace Dental
- อดีต) รองผู้อำนวยการ Ansan Yonsei Dental

김진형
ผู้อำนวยการใหญ่ปัจจุบัน) อาจารย์แพทย์คลินิก มหาวิทยาลัยยอนเซ
ผู้เชี่ยวชาญด้านทันตกรรมบูรณาการ รับรองโดยกระทรวงสาธารณสุข
- ปัจจุบัน) ผู้อำนวยการใหญ่ โรงพยาบาลทันตกรรมยอนเซ อนอา
- จบการศึกษาจากวิทยาลัยทันตแพทยศาสตร์ มหาวิทยาลัยยอนเซ
- ห้องรักษาผู้ป่วยใน โรงพยาบาลทันตกรรม มหาวิทยาลัยยอนเซ
- ที่ปรึกษาทางการแพทย์ Taiwan Bio tech
- ตัวแทนทันตกรรม สมาคมแพทย์สาธารณสุขเกาหลี
- สถาบันรับรองการบำบัดข้อต่อขากรรไกร
- สำเร็จการอบรมความผิดปกติข้อต่อขากรรไกร
- สมาชิกสามัญ สมาคมวิจัยและศึกษาความผิดปกติข้อต่อขากรรไกร
- สมาชิกสามัญ สมาคมทันตกรรมประดิษฐ์เกาหลี
- สมาชิกสามัญ สมาคมรากฟันเทียมช่องปากและใบหน้าเกาหลี
- สมาชิกสามัญ สมาคมทันตกรรมเพื่อความงามเกาหลี
- สมาชิกสามัญ สมาคมทันตกรรมอนุรักษ์เกาหลี
- สำเร็จหลักสูตร UPenn Endo
- สำเร็จหลักสูตร Osstem Master
- อดีต) ทันตแพทย์ตรวจสุขภาพช่องปาก สำนักงานควบคุมโรค
- อดีต) หัวหน้าแผนกทันตกรรม เรือนจำ Dongbu
- อดีต) รองผู้อำนวยการ Smile365
- อดีต) รองผู้อำนวยการ Kim's Plant

김태원
ผู้อำนวยการใหญ่ผู้เชี่ยวชาญด้านทันตกรรมบูรณาการ รับรองโดยกระทรวงสาธารณสุข
- จบการศึกษาจากวิทยาลัยทันตแพทยศาสตร์ มหาวิทยาลัยยอนเซ
- ห้องรักษาผู้ป่วยใน โรงพยาบาลทันตกรรม มหาวิทยาลัยยอนเซ
- สำเร็จหลักสูตร Cre'ad Endo
- สำเร็จหลักสูตร Osstem AIC Implant
- สำเร็จการสัมมนาความผิดปกติข้อต่อขากรรไกร
- สมาชิกสามัญ สมาคมวิจัยและศึกษาความผิดปกติข้อต่อขากรรไกร
- สมาชิกสามัญ สมาคมทันตกรรมบูรณาการเกาหลี
- สมาชิกสามัญ สมาคมทันตกรรมเพื่อความงามเกาหลี
- อดีต) รองผู้อำนวยการ Su Dental Prosthetic Clinic
- อดีต) รองผู้อำนวยการ Jungang Dental Clinic
- อดีต) ผู้อำนวยการใหญ่ Gwanggyo 365 Rium Dental Hospital

김태욱
ผู้อำนวยการปริญญาโท ทันตแพทยศาสตร์ มหาวิทยาลัยแห่งชาติโซล
- จบการศึกษาจากบัณฑิตวิทยาลัยทันตแพทยศาสตร์ มหาวิทยาลัยแห่งชาติโซล
- ปฏิบัติงาน ห้องรักษาทั่วไป โรงพยาบาลทันตกรรม มหาวิทยาลัยแห่งชาติโซล
- แพทย์รับรองการบำบัดข้อต่อขากรรไกร
- ทันตแพทย์ตรวจสุขภาพช่องปากรับรอง สำนักงานประกันสุขภาพแห่งชาติ
- หลักสูตร UPenn Endodontics
- สำเร็จหลักสูตร Osstem AIC Implant Master
- สำเร็จหลักสูตร Dentis CTS Implant Gold
- สมาชิก ATC Esthetic Prosthetic Research Society
- ผู้ให้บริการ BLS (Basic Life Support) สมาคมหัวใจอเมริกัน
- อดีต) รองผู้อำนวยการ Seoul Kunst Dental Clinic

류승민
ผู้อำนวยการใหญ่ แผนกทันตกรรมจัดฟันผู้เชี่ยวชาญด้านทันตกรรมจัดฟัน รับรองโดยกระทรวงสาธารณสุข
จบอันดับสองของรุ่น วิทยาลัยทันตแพทยศาสตร์ มหาวิทยาลัยยอนเซ
- สำเร็จหลักสูตรแพทย์ฝึกหัด / แพทย์ประจำบ้านทันตกรรมจัดฟัน โรงพยาบาลทันตกรรม มหาวิทยาลัยยอนเซ
- แพทย์ผู้รับรองและสมาชิกสามัญ สมาคมทันตกรรมจัดฟันเกาหลี
- สมาชิกสามัญ สมาคมวิจัยจัดฟัน มหาวิทยาลัยยอนเซ (Sejung Society)
- สำเร็จหลักสูตรปริญญาโท-เอก รวม บัณฑิตวิทยาลัยทันตแพทยศาสตร์ มหาวิทยาลัยยอนเซ (ทันตกรรมจัดฟัน)
- ศึกษาแลกเปลี่ยน แผนกทันตกรรมจัดฟัน UCSF (University of California San Francisco), UOP (University of the Pacific) สหรัฐอเมริกา
- Fellowship สหพันธ์ทันตกรรมจัดฟันโลก (WFO)
- สมาชิกสามัญ สมาคมทันตกรรมจัดฟันอเมริกัน (AAO)
- สำเร็จการอบรม Invisalign
- รางวัลประธานสมาคมทันตแพทย์เกาหลี วิทยาลัยทันตแพทยศาสตร์ มหาวิทยาลัยยอนเซ
- รางวัลกรณีศึกษาดีเด่น การประชุมวิชาการแพทย์ประจำบ้าน สมาคมทันตกรรมจัดฟันเกาหลี (KAO)
- ตัวแทนเกาหลี การประชุมทันตกรรมจัดฟันนานาชาติไต้หวัน
- รางวัลกรณีศึกษาดีเด่น ประเภทนำเสนอปากเปล่า การประชุมทันตกรรมจัดฟันนานาชาติไต้หวัน (TAO), สมาคมทันตกรรมจัดฟันเอเชียแปซิฟิก (APOS)
- รางวัลแพทย์ประจำบ้านดีเด่น Wooseok ภาควิชาทันตกรรมจัดฟัน วิทยาลัยทันตแพทยศาสตร์ มหาวิทยาลัยยอนเซ
ที่ปรึกษาทางการแพทย์

최영진
ที่ปรึกษาทางการแพทย์ปัจจุบัน) ศาสตราจารย์ศัลยกรรมช่องปากและใบหน้าขากรรไกร โรงพยาบาลกวางมยอง มหาวิทยาลัยจุงอัง
ปัจจุบัน) อาจารย์แพทย์ผู้ป่วยนอก โรงพยาบาลอาซานโซล
- ปริญญาโท ทันตแพทยศาสตร์ บัณฑิตวิทยาลัย มหาวิทยาลัยอุลซาน
- จบการศึกษาจากวิทยาลัยทันตแพทยศาสตร์ มหาวิทยาลัยวอนกวาง
- แพทย์ฝึกหัด โรงพยาบาลทันตกรรม มหาวิทยาลัยแห่งชาติโซล
- แพทย์ประจำบ้าน ศัลยกรรมช่องปากและใบหน้าขากรรไกร โรงพยาบาลอาซานโซล
- ผู้เชี่ยวชาญศัลยกรรมช่องปากและใบหน้าขากรรไกร (รับรองโดยกระทรวงสาธารณสุข)
- ผู้เชี่ยวชาญทันตกรรมบูรณาการ (รับรองโดยกระทรวงสาธารณสุข)
- แพทย์รับรอง สมาคมศัลยกรรมตกแต่งและเสริมสร้างใบหน้าขากรรไกรเกาหลี
- สมาชิกสามัญ สมาคมศัลยกรรมช่องปากและใบหน้าขากรรไกรเกาหลี
- สมาชิกสมทบ สมาคมศัลยกรรมขากรรไกรสองข้างเกาหลี
- ผู้แต่งร่วมลำดับแรก บทความ SCI (J Craniomaxillofac surgery)
- อดีต) หัวหน้าแผนกทันตกรรม ศูนย์การแพทย์สาธารณสุขชองยาง
ทำไมต้องเลือก
ยอนเซโอนาทันตกรรม
สิ่งอำนวยความสะดวก
และทีมแพทย์ระดับ
โรงพยาบาลมหาวิทยาลัย
อาจารย์พิเศษที่ปฏิบัติงานและแพทย์ 5 ท่าน
ที่มีประสบการณ์สูงสุดร่วมรักษาด้วยอุปกรณ์ที่ทันสมัยที่สุด









โรงพยาบาลมหาวิทยาลัยชั้นนำ
โรงพยาบาลพันธมิตรอย่างเป็นทางการ
ดูแลต่อเนื่องหลังรักษาจากโรงพยาบาลมหาวิทยาลัย
ความร่วมมืออย่างใกล้ชิดในการแบ่งปันเคสทางคลินิก
โรงพยาบาลมหาวิทยาลัยแห่งชาติโซล สาขาบุนดัง

โรงพยาบาลเซเวอแรนซ์ยอนเซ

โรงพยาบาลมหาวิทยาลัยอาจู
โรงพยาบาลมหาวิทยาลัยจุงอัง

โรงพยาบาลมหาวิทยาลัยดันกุก
กิจกรรมทางวิชาการที่คึกคัก
แลกเปลี่ยนกับอาจารย์มหาวิทยาลัยและสอนแพทย์ฝึกหัด
ติดตามข้อมูลทางคลินิกและแนวโน้มการวิจัยล่าสุดอย่างต่อเนื่อง

การสอนทางคลินิก (แพทย์คิมยูซอง)

การสอนทางคลินิก (แพทย์คิมจินฮยอง)

การนำเสนอในการประชุมวิชาการสมาคมทันตกรรมประดิษฐ์เกาหลีครั้งที่ 89
ประสบการณ์ทางคลินิกที่เหนือกว่า
เราสะสมประสบการณ์ทางคลินิกที่มากกว่าการเปิดคลินิกทันตกรรมทั่วไปอย่างต่อเนื่อง
ติดตามแนวโน้มการวิจัยล่าสุด
เราแลกเปลี่ยนกับอาจารย์มหาวิทยาลัยและสอนแพทย์ฝึกหัด พร้อมติดตามข้อมูลทางคลินิกและแนวโน้มการวิจัยล่าสุดอย่างต่อเนื่อง
ยื่นจดสิทธิบัตรการฝังรากฟันเทียม
เราจริงจังกับการวิจัยรากฟันเทียม
วิจัยอย่างต่อเนื่องเพื่อการรักษาที่ดียิ่งขึ้น

กำลังยื่นจดสิทธิบัตรสเตเปลอร์ทางทันตกรรมเพิ่มเติม

ทันตแพทย์บอกเล่า
เรื่องราวการรักษาทางทันตกรรม
ที่ปลอดภัยจริงๆ
ตีพิมพ์หนังสือเพื่อสุขภาพช่องปากของประชาชน
เผยแพร่ความรู้ทันตกรรมที่ถูกต้อง
“ผมอยากให้ผู้ป่วยไม่กลัวทันตกรรม
รู้ข้อมูลที่ถูกต้องและรักษาอย่างสบายใจ”
- ผอ. คิมยูซอง
เปิดให้บริการ 365 วัน
รักษานอกเวลาในวันธรรมดา
เป็นไปได้เพราะมีแพทย์หลายท่านและโรงพยาบาลใหญ่
วันธรรมดา
รักษานอกเวลา
วันหยุดสุดสัปดาห์/วันหยุดนักขัตฤกษ์
เปิดให้บริการปกติ
แม้ในช่วงกลางคืนหรือวันหยุดสุดสัปดาห์
ไม่ใช่แพทย์คนอื่น
ผู้อำนวยการรักษาด้วยตนเอง
ภาพภายนอกโรงพยาบาล

โรงพยาบาลทันตกรรมยอนเซโอนา
อาคาร Sol Square ชั้น 2

อาคาร Sol Square ชั้น 2, กูซอง-ดง, กีฮึง-กู, ยงอิน-ซี, คยองกี-โด
เดิน 5 นาทีจากทางออก 2 สถานีกูซอง สาย Suin-Bundang, GTX-A
วิธีเดินทาง
อาคาร Sol Square ชั้น 2, กูซอง-ดง, กีฮึง-กู, ยงอิน-ซี, คยองกี-โด
ตรงข้าม Daiso สาขายงอินกูซอง
จากสถานีกูซอง: เลี้ยวซ้าย → ผ่าน Daiso เลี้ยวขวา
จาก E-Mart Traders: ตรงไป 1 กม.
จากสถานีซังฮยอน: เลี้ยวขวา → ผ่านไปรษณีย์ซูจี ตรงไป 4 กม.
จากสำนักงานเขตกีฮึง: เลี้ยวซ้าย → ผ่านสามแยกกูซอง เลี้ยวขวา 2.4 กม.
จากสถานีชินกัล: เลี้ยวซ้าย → ตรงไปตามถนนกีฮึง 2.2 กม.
จากสถานีกีฮึง: ตรงไป → ตามถนนกีฮึง 4 กม.
จากมาบุก-ดง: เลี้ยวซ้าย → ทาง E-Mart Traders 2 กม.
จากโบรา-ดง: เลี้ยวขวา → ตรงไปตามถนนกีฮึง 5 กม.
จากสถานีดงแบก: เลี้ยวซ้าย → ตามถนนแบกฮยอน 3.5 กม.
จากออนนัม-ดง: เลี้ยวขวา → ทาง E-Mart Traders 1.5 กม.
จากสถานีโบจอง: เลี้ยวซ้าย → ทางทางด่วนซูจี 2 กม.
จากทางด่วนซูจี: ทางออกทางกูซอง → ตรงไป 1.5 กม.
ที่จอดรถสะดวกสบาย
ใช้ที่จอดรถใต้ดิน Sol Square ชั้น B1-B5

※ ต้องลงทะเบียนหมายเลขรถที่เคาน์เตอร์
ชั้น B2 และ B4 ไม่มีลิฟต์ (แนะนำใช้ชั้น B1, B3, B5)
ยอนเซโอนาทันตกรรมให้ความสำคัญกับความสะดวกของลูกค้าเป็นอันดับแรก
ตั้งแต่ที่จอดรถสะดวกสบายไปจนถึงพื้นที่รักษาที่สะอาด
สร้างคลินิกทันตกรรมที่เน้นลูกค้า
เวลาทำการ
ติดต่อนัดหมายด้วยวิธีที่สะดวก
ชมคำอธิบายการรักษาต่างๆ
ผ่านวิดีโอ
เรื่องราวทันตกรรมจากผู้อำนวยการใหญ่ ยอนเซ อนอา เดนทัล

ออกรายการ Medical Channel Biondi
รายการสุขภาพโดย ดร.ยอ เอสเธอร์ และ ดร.ฮง เฮกอล

บันทึกการปลดปล่อยจากฟันปลอม
All-on-X (ออลออนเอ็กซ์)
คิม ยูซอง แผนกทันตกรรมประดิษฐ์ โรงพยาบาลยอนเซ อนอา
ผู้อำนวยการ คิม ยูซอง
ออกรายการในฐานะผู้เชี่ยวชาญรากฟันเทียมทั้งปาก
อธิบายการรักษา All-on-X ด้วยตนเอง






