Oilaga munosabatda bo'lgandek
sinchkovlik bilan davolaymiz
Umr bo'yi foydalanishingiz uchun
halol va vijdonli implant
7,000
marta+
Implant o'rnatish soni
2,000
marta+
Protez tayyorlash soni
6
yil+
Universitet shifoxonasi tajribasi
4.9
/ 5.0
Bemor qoniqishi
Kakao, Google, Naver xarita asosida
VIDEO
Protez · To'liq implant
Videoda ko'ring
Yonsei Ona Dental bosh shifokori
sizga bevosita tushuntiradi
Protez haqida hamma narsa
Protez haqidagi barcha savollaringizga javob beramiz
To'liq implant batafsil tushuntirish
2M obunachi kanalda2 million obunachilik tibbiy kanal "Biondu" da ishtirok
Yonsei Ona Dental
nimasi bilan ajralib turadi
Tish shifokorlarini o'qitadigan
Protez mutaxassisi
Yonsei universiteti stomatologiya kasalxonasi
tashqi professori sifatida minglab
protez/implant tajribasiga ega
Protez mutaxassisi bevosita davolaydi.


Yonsei universiteti stomatologiya fakulteti talabalari klinik mashg'uloti
Tishlash sohasida
eng yuqori darajadagi mutaxassis
Stomatologiya fakulteti talabalarini bevosita o'qitib
faol ilmiy tadqiqotlar olib boradi
Tishlash sohasining mutaxassisi.

89-Koreya stomatologiya protez jamiyati ilmiy anjumani ma'ruzasi
Bir kunlik vaqtincha tish bilan
darhol oddiy hayotga qaytish
Klinika ichida alohida laboratoriya mavjud,
bir kunlik vaqtincha tishda ham optimal tishlashni ta'minlaydi.
Tishsiz o'tkazadigan biror kun ham yo'q.

Ertalab operatsiya
Raqamli yo'riqnoma orqali aniq implant o'rnatish
Vaqtincha tish tayyorlash
Ichki laboratoriyada bemorga moslashtirilgan darhol tayyorlash
Kechqurun oddiy hayotga qaytish
Tish haqida tashvishlanmasdan ijtimoiy hayotga darhol qaytish
Universitet kasalxonasi bilan
bir xil sifat
Yonsei universiteti klinik professor tarmoqi orqali
Yonsei universiteti stomatologiya kasalxonasi bilan bir xil laboratoriyadan foydalanamiz,
universitet kasalxonasi darajasidagi sifatni kafolatlaymiz.
Mamlakat bo'yicha eng yuqori darajadagi laboratoriya
Yonsei universiteti stomatologiya kasalxonasining rasmiy hamkor laboratoriyasi
Aniq protez tayyorlash
Eng yangi CAD/CAM raqamli texnologiyasi
Mukammal tishlashni ta'minlash
Tabiiy tish bilan bir xil funksiyani tiklash
Implant umrini belgilaydigan
ilmiy keyingi parvarish
Implant muvaffaqiyatsizligining asosiy sababi 'yallig'lanish'dir.
Ko'zga ko'rinmaydigan og'izdagi zararli bakteriyalarni tahlil qilib,
implant atrofidagi yallig'lanishni boshidan oldini olamiz.
Parvarish o'rnatishdan ko'ra muhimroq
Implantlar tabiiy tishlardan ko'ra yallig'lanishga moyilroq.
NGS mikroorganizm tekshiruvi orqali bakteriya taqsimotini aniqlab,
shaxsiy parvarish bilan umrni sezilarli uzaytirish mumkin.
Ma'lumotlarga asoslangan periimplantit oldini olish tizimi
- •Periimplantit keltirib chiqaruvchi bakteriyalarni kuzatish
- •Yallig'lanish paydo bo'lishidan oldin oldindan choralar
- •Ob'yektiv ma'lumotlarga asoslangan umrbod parvarish
Minimal o'rnatish, minimal kesish
minimal suyak ko'chirish
Aniq raqamli diagnostika orqali
faqat zarur bo'lgan minimal davolash o'tkaziladi
Minimal o'rnatish
Yuqori jag'da 6 ta, pastki jag'da 4 ta ham mustahkam mahkamlaydi
Minimal kesish
Tez tiklanadigan minimal kesish jarrohlik
Minimal suyak ko'chirish
Aniq diagnostika bilan faqat zarur bo'lgan suyak ko'chirish
Suyak ko'chirish, sinus lifting kabi murakkab hollarni ham professional tarzda davolaymiz
DENTAL PHOBIA CARE
Stomatologdan qo'rqasizmi?
Avval his-tuyg'ularingizni tushunamiz
Dr. Kim Yu-seong (Bosh shifokor) × Psixiatr mutaxassisi
Qo'rquv bilan kasallik uchun xavfsiz stomatologik davolash tizimi
Ko'plab stomatologiyalarda shunday deyishadi
"Xotirjam bo'ling, davom etarsiz, yaxshi bo'ladi"
"Uyqu terapiyasini qildiraylik. Narxi 20-30 ming so'm"
Juda passiv yoki juda faol yondashuv.
Uyqu terapiyasi qimmat,
umumiy kasallikli bemorlarga xavfli bo'lishi mumkin.
Faqat Yonsei Ona Dentalda
Qo'rquv darajasiga moslashgan parvarish
Qo'rquv darajasini baholash
Oddiy so'rovnoma emas, bemor qulay javob beradigan hamdardlik savollari bilan aniq daraja baholash
Ruhiy tinchlik kontenti
Psixiatr bilan birgalikda tayyorlangan ruhiy tinchlik videosi + Tell-Show-Do terapiyasi
Dori-darmon yordami
Alprazolam kabi xavfsiz tinchlantiruvchi dorilarni dalillarga asoslangan holda buyurish
Uyqu terapiyasi
Umumiy kasalliklar so'rovnomasidan so'ng xavfsizlik ta'minlash, aniq uskunalar bilan uyqu dori dozasini real vaqtda sozlash
Yonsei Onaning Stomatologik qo'rquv baholash so'rovnomasi
Davolashdan oldin bemor tashvish darajasini
5 savollik qisqa baholash bilan aniqlaymiz

Har bir bemorning ruhiy holatiga qarab davolash usuli sozlanadi
Tell-Show-Do terapiyasi
Faqat tushuntirish bilan tashvish yo'qolmaydi
Asboblarni bosqichma-bosqich ko'rish va ushlab ko'rishga imkon beramiz
Tell
Tushuntirish
Show
Ko'rsatish
Do
Sinash
Maxsus joy qulay davolash uchun

Dam olish operatsiya kutish xonasi
Qulay muhitda o'zingizni jamlashingiz mumkin bo'lgan maxsus kutish maydoni

Maxsus tiklanish xonasi
Sedatsiyadan so'ng qulay dam olishingiz mumkin bo'lgan alohida tiklanish maydoni
Ongli sedatsiya nima?
Biroz uyqusirayotgandek holatda muolaja olasiz va muolaja paytidagi voqealarni yaxshi eslay olmaysiz.
Ong saqlanib qolgan holatda taranglik yumshatilgani uchun davolash paytida o'z holatingizni ifoda eta olasiz va javob bera olasiz, shuning uchun xavfsiz.
Xavfsizlik
Ong saqlanib qolgan holatda muolaja
Mutaxassis qon bosimi, puls va kislorod darajasini tekshiradi
Jahon tan olingan dorilar ishlatiladi
Umumiy narkoz emas, shuning uchun nojo'ya ta'sirlar ancha past
Istalgan vaqtda uyg'onish uchun teskari dori mavjud
Qulaylik
Oddiy in'ektsiya bilan sedatsiya mumkin
Muolaja tugagandan so'ng faqat qulay his qoladi
Stomatologik davolashda ishonch beruvchi qulay xotiralar qoladi
Arzon va oddiy muolaja
Faqat Yonsei Ona Dentalda
Uyqu narkozi tizimi
Mutaxassis o'zi bajaradi
Narkoz tajribasiga ega stomatolog o'zi bajaradi
Tizimli oldindan so'rovnoma
Umumiy kasalliklar, dorilar va nafas olish salomatligi puxta tekshiriladi
Xavfsiz dorilar ishlatiladi
Xalqaro standartlarga javob beruvchi dorilar, tez tiklanish va kam nojo'ya ta'sirlar
Butun jarayon monitoringi
Kislorod darajasi va yurak urishi real vaqtda o'lchanib xavfsizlik boshqariladi
Davodan so'ng tiklanish xonasi
Tinch tiklanish xonasida to'liq dam olib uyga qaytish
Yonsei Onaning Infusion usuli
Oddiy klinikalar (Bolus usuli)
Dorini bir vaqtda yuborish, narkoz chuqurligini nazorat qilish qiyin va muammolar bo'lishi mumkin
Yonsei Ona (Infusion usuli)
KALS sertifikatli shifokor bemorning narkoz chuqurligini real vaqtda tekshirib, dori dozasini sozlaydi
KALS nima?
Korean Advanced Life Support
Koreya yurak-o'pka tirilish assotsiatsiyasi tomonidan tasdiqlanadigan Koreya ilg'or hayot qo'llab-quvvatlash sertifikati. Faqat shifokorlar va stomatologlar uchun mo'ljallangan favqulodda javob bo'yicha mutaxassislik o'quvi.

Yuqori narxli Infusion maxsus uskunasi bilan xavfsiz uyqu narkozi
"Stomatologdan qo'rqasizmi?"
Yonsei Ona Dentalda
tushunilgan va asta-sekin yengib o'ting
Hech qaysi klinika yetib
kelolmaydigan tezlik va farq
O'z laboratoriyamiz bilan bir kunda vaqtinchalik tish tayyor
Oddiy tish klinikasi
Tashqi laboratoriyaga buyurtma → 1-2 hafta kutish
Texnik bilan bevosita muloqot imkonsiz
Tishlov sozlashda qayta buyurtma kerak
Yonsei Ona Dental
O'z laboratoriyamiz → bir kunda vaqtinchalik tish tayyor
Eng zamonaviy uskunalar va tadqiqot muhiti
Yillar davomida hamkorlik qilgan mutaxassis texnik
Real vaqtda muloqot orqali darhol tishlov sozlash
💡 Texnikning mahorati protez sifatini belgilaydi
Yaxshi uskunalar va tadqiqot muhitiga ega bo'lib, shifokor bilan yillar davomida hamkorlik qilgan eng yuqori darajadagi texnikni taklif qildik. Real vaqtda muloqot orqali har bir bemor uchun eng mos tishlovni yaratamiz.
IN-HOUSE LAB
Ichki laboratoriya
Yaxshi protez yaxshi texnikdan boshlanadi

Eng zamonaviy jihozlar va tadqiqot muhiti
Biz shunchaki laboratoriyaga ega emasmiz.
Eng zamonaviy raqamli jihozlar va tadqiqot muhiti bilan
eng yuqori darajadagi texnikni jalb qildik.
Texnikning mahorati protez sifatini belgilaydi
Qanchalik yaxshi implant o'rnatilsa ham, ustidagi protez aniq bo'lmasa foydasiz. Direktor bilan ko'p yillar ishlagan mutaxassis texnik bevosita ishlab chiqaradi.
Oddiy stomatologiya
Tashqi laboratoriyaga buyurtma → 1-2 hafta kutish
Texnik bilan bevosita aloqa qilish imkoni yo'q
Nozik tishlash sozlanishi uchun qayta buyurtma kerak
Yonsei Ona Dental
Ichki laboratoriya → Bir kunda vaqtinchalik tish tayyor
Texnik bilan real vaqtda aloqa
Darhol tishlash sozlanishi bilan eng yaxshi natija
Eng yuqori darajadagi texnik
Universitet shifoxonasi darajasidagi malakali mutaxassis texnik klinikamizda doimiy ishlaydi
Direktor bilan ko'p yillik hamkorlik
Ko'p yillar davomida birgalikda ishlagan jamoaviy ish bilan har bir bemor uchun eng mos tishlashni yaratamiz
Tishsiz kun yo'q
Operatsiyadan so'ng yakuniy protezgacha tishsiz yashash uchun birorta kun ham yo'q
Yakuniy protez yanada maxsus
Yakuniy protez Yonsei Universiteti stomatologiya shifoxonasi bilan bir xil laboratoriyada tayyorlanadi. Ichki laboratoriya orqali bir kunda vaqtinchalik tish va universitet darajasidagi tashqi laboratoriya orqali kafolatlangan sifatli yakuniy protez, ikkala afzallikni birgalikda olamiz.
SCIENTIFIC AFTERCARE
O'rnatishdan muhimroq narsa
keyingi parvarish hisoblanadi
"Umr bo'yi foydalanishingiz uchun oxirigacha mas'uliyat olamiz"
Koreyadagi birinchi stomatologiya klinikasi NGS mikrobiom testini joriy etdi
🧬 Global genom tahlili kompaniyasi Macrogen bilan hamkorlik

NGS yangi avlod ketma-ketlik tahlili
Og'iz bo'shlig'idagi 700 dan ortiq mikroorganizmlarni aniq tahlil qilib,
tish chirishi va parodontit qo'zg'atuvchi bakteriyalarni oldindan aniqlaydi
Nima uchun stomatologiyada mikrobiom testi?
Og'iz bo'shlig'i "tana sog'ligi boshlanadigan eshik"dir. Og'iz bo'shlig'idagi zararli bakteriyalar faqat og'izda qolmaydi, balki qon oqimi orqali butun tanaga tarqaladi va yurak-qon tomir kasalliklari, diabet, demensiya va boshqalarga ta'sir qilishi mumkin.

Shaxsiy tahlil hisoboti
Testdan keyin 2-3 hafta ichida batafsil natijalar

Og'iz mikrobiomi → Butun tana sog'ligi
Og'iz bo'shlig'idagi zararli bakteriyalar qon tomirlari orqali
butun tanaga tarqalib, turli kasalliklarga ta'sir qiladi
Quyidagi shaxslarga tavsiya etamiz
Implant parvarishi kerak bo'lganlar
Implant atrofidagi yallig'lanishni oldini olish uchun zararli bakteriyalar tahlili
Milk kasalligi va og'iz hididan aziyat chekayotganlar
Parodontit qo'zg'atuvchi bakteriyalarni aniq tahlil qilish va shaxsiy parvarishlash
Umumiy sog'lik haqida tashvishlananlar
Og'iz-ichak bog'lanishi tahlili orqali butun tana sog'ligini tekshirish
Test oddiy
So'lak olish
3 daqiqa
NGS tahlili
Macrogen
Natija konsultatsiya
2-3 hafta keyin
Yonsei Ona har doim
2 marta operatsiya qiladi
Bosh shifokor virtual implantatsiya operatsiyasi orqali
eng maqbul o'rnatish joyini loyihalashtiradi va
shundan so'ng haqiqiy operatsiyani amalga oshiradi
Tez va qulay operatsiya bilan
shish, og'riq va suyak ko'chirib o'tkazishni minimallashtirish

1
Og'iz bo'shlig'ini skanerlaydigan 3D raqamli skanerlash tizimi bilan aniq tashxis qo'yish

2
Kompyuterda yaratilgan og'iz tuzilishini hisobga olgan holda, kesmalarsiz tish o'rnatish rejasini tuzish

3
Operatsiya qilinadigan joyga yo'naltiruvchi moslamani o'rnatish orqali 1 mm gacha bo'lgan xatolikni kamaytirish

4
Minimal kesma orqali boshqa muolajalarga qaraganda vaqtni tejash, og'riq va shishni kamaytirish

5
Vaziyatga qarab simulyatsiya operatsiyasini o'tkazish orqali xatolikni kamaytirish va natijadan mamnunlikni oshirish
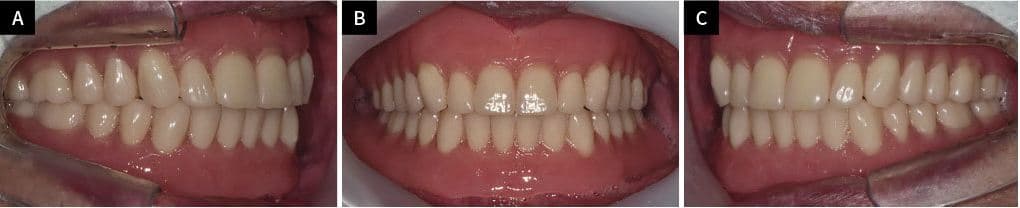
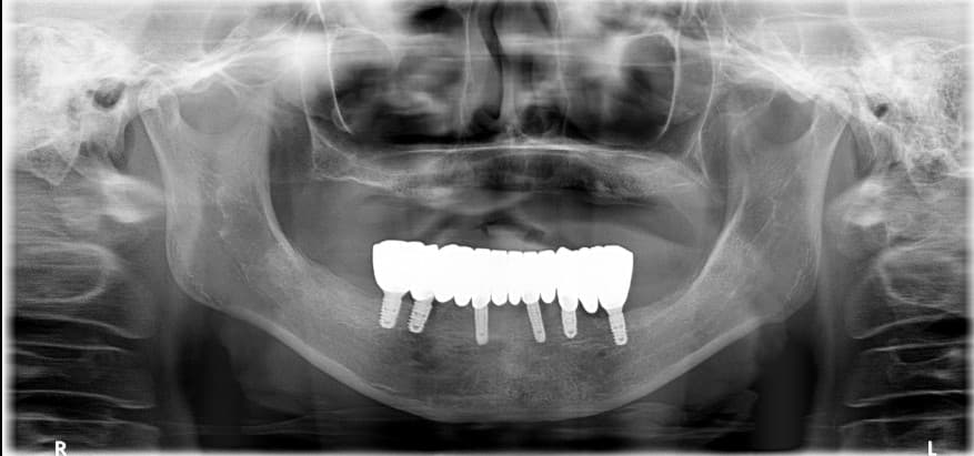
REAL PATIENT RESULTS
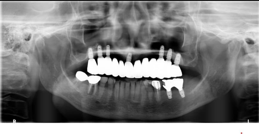
To'liq implant
oldin va keyin
Haqiqiy bemorlarimizning ajoyib o'zgarishlarini ko'ring

After ✨
Kim●● · 60 yoshdan oshgan erkak
Yuqori jag to'liq implant

After ✨
Lee●● · 60 yoshdan oshgan ayol
Yuqori jag to'liq implant

After ✨
Park●● · 70 yoshdan oshgan erkak
Pastki jag to'liq implant
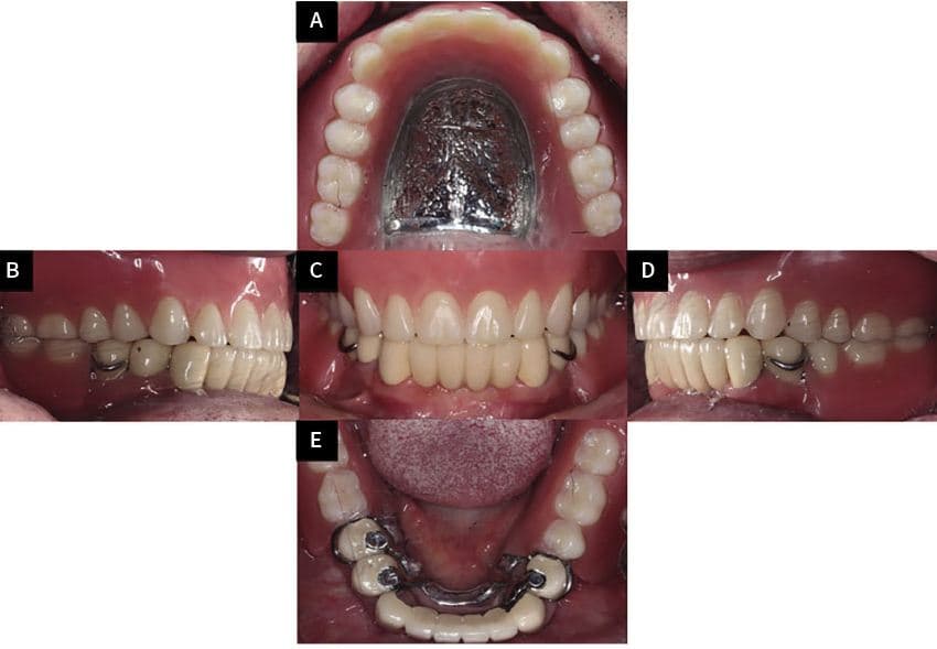
DENTURE CASES
Protez oldin va keyin
Tabiiy va qulay protez bilan
hayot sifatini oshiring

After ✨
Kim●● · 70 yoshdan oshgan ayol
Yuqori va pastki to'liq protez

After ✨
Park●● · 80 yoshdan oshgan erkak
Yuqori va pastki to'liq protez

After ✨
Lee●● · 70 yoshdan oshgan ayol
Yuqori to'liq protez + Pastki implant qisman protez
Aniq moslashtirilgan protez ishlab chiqarish
Shifoxona laboratoriyasida bemor uchun maxsus ishlab chiqarilgan
- ✓
Tabiiy milk rangi va tish joylashuvi
- ✓
Qulay kiyish, erkin ovqatlanish va gaplashish
- ✓
Implant bilan birgalikda barqaror mahkamlash mumkin
COST-EFFECTIVE TREATMENT
Protez mutaxassisi tomonidan
shaxsiy og'iz bo'shlig'ini tiklash
Implant, toj, ko'prik va boshqalar
Bemor holatiga mos eng maqbul davolash kombinatsiyasi bilan
maqbul narxda eng yaxshi natija
Bosh shifokor Kim Yuseong
Yonsei universiteti klinik professori · Protez/Integratsion stomatologiya mutaxassisi
- ✓
Barcha tishlarni implant qilish shart emas
- ✓
Toj, ko'prik, qisman protezni to'g'ri kombinatsiyalash bilan xarajatni minimallashtirish
- ✓
Bemor holatiga mos optimal davolash rejasi
- ✓
Foizsiz bo'lib to'lash, konsultatsiyada shaxsiy narx ko'rsatmasi

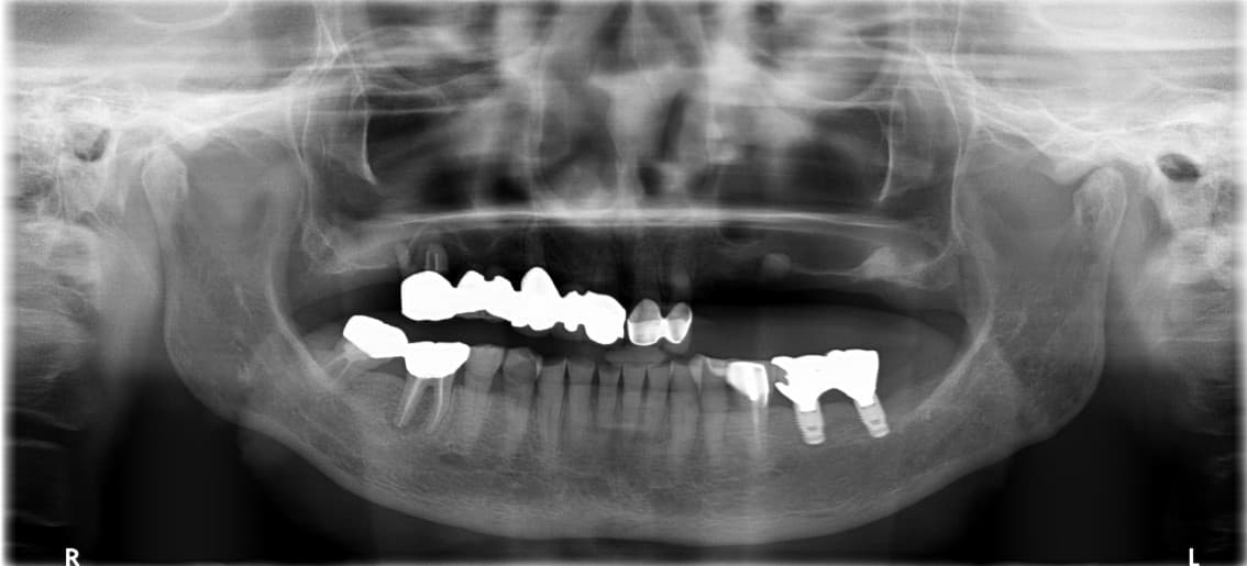
After ✨
Kang●● · 50 yoshdan oshgan erkak
Implant + Toj + Ko'prik kombinatsiyasi

After ✨
Song●● · 60 yoshdan oshgan ayol
Shaxsiy protez kombinatsiyasi davolash

After ✨
Jo●● · 50 yoshdan oshgan ayol
Tejamkor shaxsiy davolash
Xarajat haqida tashvishlanmasdan avval maslahat oling
Bemor holatiga mos optimal davolash kombinatsiyasi va
maqbul narxni ko'rsatamiz
WHY YONSEI ONA
Mahorat boshqacha bo'lsa
natija ham boshqacha
Boshidanoq to'g'ri qilish eng oqilona tanlovdir
Qayta operatsiyasiz mukammal davolash, bu haqiqiy mahorat
Yonsei Ona Dental implanti
Jami implant o'rnatish
6 yil+
Universitet shifoxonasi tajribasi
4.9
Bemor qoniqishi / 5.0
Yonsei Ona Dental ning o'ziga xos tizimi
Yonsei tashqi professor tomonidan operatsiya
Universitet shifoxonasida kichik shifokorlarni o'qitadigan tasdiqlangan mutaxassis tomonidan bevosita operatsiya
NGS mikrob tekshiruvi
Koreya stomatologiyasida birinchi bo'lib joriy etilgan Ilmiy ma'lumotlar bilan implant atrofidagi yallig'lanishning oldini olish
3D raqamli yo'riqnoma operatsiyasi
0.1mm aniqlikda o'rnatish Asab/qon tomir shikastlanish xavfini minimallashtirish
Kesiksiz & bir kunda o'rnatish
Qon ketishi, og'riq, shishishni minimallashtirish Tezda kundalik hayotga qaytish imkoniyati
Umr bo'yi foydalaniladigan implant, kimga topshirasiz?
Universitet shifoxonasi darajasidagi davolashni his eting
5 ta Yonsei universiteti mutaxassisi hamkorligi
Yonsei Ona
eng yaxshi shifokorlari

Kim Yu-seong
Bosh shifokor · Shifoxona direktoriHozirgi: Yonsei universiteti klinik professor
Sog'liqni saqlash vazirligi tomonidan sertifikatlangan stomatologik protezlash mutaxassisi
Sog'liqni saqlash vazirligi tomonidan sertifikatlangan integratsiyalangan stomatologiya mutaxassisi
- Hozirgi: Yonsei Ona stomatologiya shifoxonasi direktori
- Yonsei universiteti stomatologiya fakultetini tamomlagan
- Yonsei universiteti stomatologiya shifoxonasi klinik amaliyoti
- Yonsei universiteti stomatologiya shifoxonasi intern
- Ajou universiteti stomatologiya shifoxonasi rezident
- Ajou universiteti periodontologiya va implant protezlash bo'yicha magistr
- Stomatologik protezlash bo'yicha sertifikatlangan shifokor (Sog'liqni saqlash vazirligi)
- Taiwan Bio tech maslahatchi shifokori
- Implant o'rnatish bo'yicha patent № 10-2537546
- Stomatologik stepler patenti ko'rib chiqilmoqda
- Advanced Cardiac Life Support provider (ACLS)
- Professional kardiopulmonal reanimatsiya sertifikati
- Koreya stomatologik protezlash jamiyati raqamli master kursini tamomlagan
- UCLA stomatologiya shifoxonasi externship
- Temporomandibular bo'g'im stimulyatsiya terapiyasi sertifikatlangan muassasa
- Jag' bo'g'imi kasalliklari bo'yicha ta'limni tamomlagan
- Jag' bo'g'imi kasalliklari ta'lim-tadqiqot jamiyati a'zosi
- Koreya stomatologik protezlash jamiyati a'zosi
- Koreya og'iz-jag' implantologiya jamiyati a'zosi
- Koreya estetik stomatologiya jamiyati a'zosi
- Koreya stomatologik konservativ davolash jamiyati a'zosi
- Oldingi: Boryeong Hana Implant bosh o'rinbosari
- Oldingi: Ace Dental bosh o'rinbosari
- Oldingi: Ansan Yonsei Dental bosh o'rinbosari

Kim Jin-hyeong
Bosh shifokorHozirgi: Yonsei universiteti klinik professor
Sog'liqni saqlash vazirligi tomonidan sertifikatlangan integratsiyalangan stomatologiya mutaxassisi
- Hozirgi: Yonsei Ona stomatologiya shifoxonasi bosh shifokor
- Yonsei universiteti stomatologiya fakultetini tamomlagan
- Yonsei universiteti stomatologiya shifoxonasi klinik amaliyoti
- Taiwan Bio tech maslahatchi shifokori
- Koreya jamoat sog'liqni saqlash shifokorlari assotsiatsiyasi stomatologiya vakili
- Temporomandibular bo'g'im stimulyatsiya terapiyasi sertifikatlangan muassasa
- Jag' bo'g'imi kasalliklari bo'yicha ta'limni tamomlagan
- Jag' bo'g'imi kasalliklari ta'lim-tadqiqot jamiyati a'zosi
- Koreya stomatologik protezlash jamiyati a'zosi
- Koreya og'iz-jag' implantologiya jamiyati a'zosi
- Koreya estetik stomatologiya jamiyati a'zosi
- Koreya stomatologik konservativ davolash jamiyati a'zosi
- UPenn Endodontics kursini tamomlagan
- Osstem master kursini tamomlagan
- Oldingi: Kasalliklarni nazorat qilish agentligi og'iz bo'shlig'ini tekshirish shifokori
- Oldingi: Dongbu qamoqxonasi tibbiyot bo'limi stomatologiya boshlig'i
- Oldingi: Smile365 bosh o'rinbosari
- Oldingi: Kim's Implant bosh o'rinbosari

Kim Tae-won
Bosh shifokorSog'liqni saqlash vazirligi tomonidan sertifikatlangan integratsiyalangan stomatologiya mutaxassisi
- Yonsei universiteti stomatologiya fakultetini tamomlagan
- Yonsei universiteti stomatologiya shifoxonasi klinik amaliyoti
- Cre'ad Endo kursini tamomlagan
- Osstem AIC Implant kursini tamomlagan
- Jag' bo'g'imi kasalliklari seminarini tamomlagan
- Jag' bo'g'imi kasalliklari ta'lim-tadqiqot jamiyati a'zosi
- Koreya integratsiyalangan stomatologiya jamiyati a'zosi
- Koreya estetik stomatologiya jamiyati a'zosi
- Oldingi: Su Dental Prosthetics Clinic bosh o'rinbosari
- Oldingi: Jungang Dental Clinic bosh o'rinbosari
- Oldingi: Gwanggyo 365 Lium Dental Hospital bosh shifokor

Kim Tae-uk
ShifokorSeul milliy universiteti stomatologiya fanlari magistri
- Seul milliy universiteti stomatologiya aspiranturasini tamomlagan
- Seul milliy universiteti stomatologiya shifoxonasi umumiy amaliyot bo'limi
- Temporomandibular bo'g'im terapiyasi sertifikatlangan shifokor
- Milliy sog'liqni saqlash sug'urtasi korporatsiyasi sertifikatlangan og'iz tekshiruvi shifokori
- UPenn Endodontics kursi
- Osstem AIC Implant Master kursini tamomlagan
- Dentis CTS Implant Gold kursini tamomlagan
- ATC estetik protezlash tadqiqot jamiyati a'zosi
- Amerika yurak assotsiatsiyasi BLS (Basic Life Support) provider
- Oldingi: Seoul Kunst Dental Clinic bosh o'rinbosari

Ryu Seung-min
Ortodontiya bosh shifokoriSog'liqni saqlash vazirligi tomonidan sertifikatlangan ortodontiya mutaxassisi
Yonsei universiteti stomatologiya fakultetini ikkinchi o'rin bilan tamomlagan
- Yonsei universiteti stomatologiya shifoxonasi intern / Ortodontiya rezidenturasini tamomlagan
- Koreya ortodontiya jamiyati sertifikatlangan shifokor va a'zosi
- Yonsei universiteti ortodontiya tadqiqot jamiyati (Sejeong) a'zosi
- Yonsei universiteti stomatologiya aspiranturasi magistr-doktorantura integratsiyalashgan dasturini tamomlagan (Ortodontiya)
- UCSF (Kaliforniya universiteti San-Fransisko), UOP (Tinch okeani universiteti) stomatologiya ortodontiya bo'limi almashinuv stajirovkasi
- Jahon ortodontiya federatsiyasi (WFO) Fellowship
- Amerika ortodontiya jamiyati (AAO) a'zosi
- Invisalign ta'limini tamomlagan
- Yonsei universiteti stomatologiya fakulteti Koreya stomatologlar assotsiatsiyasi prezidenti mukofoti
- Koreya ortodontiya jamiyati (KAO) rezidentlar ilmiy konferensiyasi eng yaxshi klinik holat
- Tayvan xalqaro ortodontiya jamiyati Koreya vakili sifatida tanlangan
- Tayvan xalqaro ortodontiya jamiyati (TAO), Osiyo-Tinch okeani ortodontiya jamiyati (APOS) og'zaki taqdimot bo'limi eng yaxshi klinik holat mukofoti
- Yonsei universiteti stomatologiya fakulteti ortodontiya kafedrasi Useok eng yaxshi rezident mukofoti
Maslahatchi shifokor

Choi Yeong-jin
Maslahatchi shifokorHozirgi: Chungang universiteti Gwangmyeong shifoxonasi og'iz-jag'-yuz jarrohligi professori
Hozirgi: Seul Asan shifoxonasi tashqi professor
- Ulsan universiteti aspiranturasi stomatologiya fanlari magistri
- Wonkwang universiteti stomatologiya fakultetini tamomlagan
- Seul milliy universiteti stomatologiya shifoxonasi intern
- Seul Asan shifoxonasi og'iz-jag'-yuz jarrohligi rezidenti
- Og'iz-jag'-yuz jarrohligi mutaxassisi (Sog'liqni saqlash vazirligi sertifikati)
- Integratsiyalangan stomatologiya mutaxassisi (Sog'liqni saqlash vazirligi sertifikati)
- Koreya jag'-yuz plastik va rekonstruktiv jarrohlik sertifikatlangan shifokor
- Koreya og'iz-jag'-yuz jarrohligi jamiyati a'zosi
- Koreya ikki jag' jarrohligi jamiyati a'zosi
- SCI maqola birinchi hammuallif (J Craniomaxillofac Surgery)
- Oldingi: Cheongyang jamoat sog'liqni saqlash markazi stomatologiya bo'limi boshlig'i
SLOGAN
Oilangiz uchun asosiy stomatolog,
OnA klinikasi.
Oilaning har bir a'zosiga munosabat bilan,
samimiy va vijdoniy davolash qilaman.
OnA klinikasining 5 ta va'dasi
Samimiy tarzda tashxis qilish va ortiqcha davolash qilmasligimiz.
Har doim tishlarni saqlab qolish uchun tadqiq qilishimiz.
Hech qanday qismni o'tkazmasdan ehtiyotkorlik bilan davolashimiz.
Bemorlarning og'riqsiz muolajaisi uchun ehtibor qilishimiz.
Steril asbob-uskunalar va jihozlar bilan toza davolash qilishimiz.
Nima uchun Yonsei Ona
eng yaxshi
Universitet darajasidagi
sharoitlar va xodimlar
Hozirgi tashqi professor va eng yuqori malakali
5 ta bosh shifokor zamonaviy uskunalarda hamkorlikda ishlaydi









Mashhur universitet
shifoxonalari bilan rasmiy hamkor
Universitet shifoxonasida davolanganidan keyin
bizning klinikamizda nazorat va turli klinik holatlarni almashish
Bundang Seul Milliy Universiteti shifoxonasi

Yonsei Severans shifoxonasi

Aju Universiteti shifoxonasi
Chungang Universiteti shifoxonasi

Dankuk Universiteti shifoxonasi
Faol ilmiy faoliyat
Universitet professorlari bilan aloqada bo'lib, rezidentlarni o'rgatamiz
va eng so'nggi klinik ma'lumotlar va tadqiqot tendensiyalarini kuzatib boramiz

Talaba klinik yo'riqnomasi (Dr. Kim Yu-seong)

Talaba klinik yo'riqnomasi (Dr. Kim Jin-hyeong)

89-Koreya Stomatologik Protezlash Jamiyati ilmiy konferensiyasi taqdimoti
Ustun klinik tajriba
Oddiy mahalliy stomatologiya klinikasini boshqarishdan ko'ra, biz doimiy ravishda ko'proq klinik tajriba to'plashda davom etmoqdamiz.
Eng so'nggi tadqiqot tendensiyalarini kuzatish
Universitet professorlari bilan aloqada bo'lib, rezidentlarni o'rgatish orqali eng so'nggi klinik ma'lumotlar va tadqiqot tendensiyalarini muntazam tekshiramiz.
Implant o'rnatish bo'yicha patent arizasi
Implant tadqiqotlariga jiddiy yondashamiz.
Yaxshiroq davolash uchun doimiy tadqiqot olib boramiz.

Stomatologik stepler uchun qo'shimcha patent arizasi berilmoqda

Stomatolog aytadigan
haqiqiy xavfsiz stomatologik davolash hikoyasi
Xalq og'iz sog'lig'i uchun kitob nashr etildi
To'g'ri stomatologik bilimlarni tarqatamiz
“Bemorlar stomatologiyadan qo'rqmasdan
to'g'ri ma'lumotlarni bilib, xotirjam davolanishlarini xohlayman”
- Dr. Kim Yu-seong, Bosh shifokor
365 kun davolash
Ish kunlari kechki qabul
Ko'p shifokorlar va katta klinika tufayli mumkin
Ish kunlari
Kechki qabul
Dam olish kunlari/Bayramlar
Normal qabul
Kechqurun yoki dam olish kunlarida ham
boshqa shifokorlar emas,
bosh shifokorlar bevosita qabul qiladi
Shifoxona tashqi ko'rinishi

Yonsei Ona Dental shifoxonasi
Sol Square binosi 2-qavat

Gyeonggi-do, Yongin-si, Giheung-gu, Guseong-dong, Sol Square binosi 2-qavat
Suin-Bundang liniyasi, GTX-A Guseong stansiyasi 2-chiqish, piyoda 5 daqiqa
Bizga qanday kelish mumkin
Gyeonggi-do, Yongin-si, Giheung-gu, Guseong-dong, Sol Square 2-qavat
Daiso Yongin Guseong do'koni ro'parasida
Guseong stansiyasidan: chapga burilish → Daisoni o'tib o'ngga burilish
Emart Traders dan: 1km to'g'ri
Sanghyeon stansiyasidan: o'ngga burilish → Suji pochta bo'limini o'tib 4km to'g'ri
Giheung hokimiyatidan: chapga burilish → Guseong uch yo'lini o'tib 2.4km o'ngga
Singal stansiyasidan: chapga burilish → Giheung-ro bo'ylab 2.2km
Giheung stansiyasidan: to'g'ri → Giheung-ro bo'ylab 4km
Mabuk-dongdan: chapga burilish → Emart Traders tomon 2km
Bora-dongdan: o'ngga burilish → Giheung-ro bo'ylab 5km
Dongbaek stansiyasidan: chapga burilish → Baekhyeon-ro bo'ylab 3.5km
Eonnam-dongdan: o'ngga burilish → Emart Traders tomon 1.5km
Bojeong stansiyasidan: chapga burilish → Suji IC tomon 2km
Suji IC dan: Guseong yo'nalishi → to'g'ri 1.5km
Qulay avtoturargoh mavjud
Sol Square yer osti 1-5 qavatlarida

※ Qabulxonada avtomobil raqamini ro'yxatdan o'tkazish shart
Yer osti 2 va 4-qavatlarda lift yo'q. (Yer osti 1, 3, 5-qavatlardan foydalanish tavsiya etiladi)
Yonsei Ona Dental mijozlar qulayligini birinchi o'ringa qo'yadi.
Qulay avtoturargohdan tortib shinam davolash xonalarigacha,
mijozlarga yo'naltirilgan stomatologiya yaratmoqdamiz.
Ish vaqti
Qulay usulda biz bilan bog'laning
Turli davolash usullari haqida
videolar ko'ring
Yonsei Ona bosh shifokoridan stomatologiya hikoyalari

Tibbiyot kanali Biondu da ishtirok
Yo Esther, Hong Hye-geol doktorning sog'liq dasturi

Keksalikda protezdan ozodlik kundaligi
All on X (Ol-on-Eks)
Yonsei Ona stomatologiya shifoxonasi protez bo'limi Kim Yu-seong
Kim Yu-seong bosh shifokor
to'liq implant davolash mutaxassisi sifatida ishtirok etib
All-on-X davolashni to'g'ridan-to'g'ri tushuntiradi
Ko'p so'raladigan savollar
To'liq implant haqiqatan ham protezdan yaxshiroqmi?
Ha, aniq farq qiladi. Protez tabiiy tishning chaynash kuchining faqat 30% ni saqlaydi, lekin implant 80-90% gacha tiklanadi, chaynash ta'mi butunlay boshqacha. Olib-qo'yish noqulayligi yo'q va parvarish ham tabiiy tish kabi oson va gigienik. Bir marta o'rnatilgandan so'ng umrbod foydalanish mumkin va ochiq kulish imkoniyati psixologik jihatdan ham o'ziga ishonchni qaytaradi.
Protez ham qilasizmi?
Ha, albatta. Bosh shifokorimiz universitet kasalxonasida 2000 dan ortiq protez yaratish tajribasiga ega. Bemorlarning qoniqish darajasi to'liq implantda ancha yuqori bo'lgani uchun implantni tavsiya qilamiz, lekin protez zarur bo'lsa, ishonch bilan eng yaxshi protezni yasab beramiz.
To'liq implant narxi qimmat
Tushunaman. Yonsei Ona Stomatologiyasi qisman protez va implantni birlashtirib qo'llash, yuqori/pastki jag'ni alohida-alohida qilish, implantlar sonini optimallashtirish kabi narx yukini kamaytirish uchun turli usullarni taklif qiladi. Foizsiz bo'lib to'lash ham mavjud, konsultatsiyada batafsil tushuntiramiz.
To'liq implant uchun nechta implant kerak?
Odatda yuqori jag' (yuqori tishlar) uchun 6 ta, pastki jag' (pastki tishlar) uchun 4 ta asosiy hisoblanadi. Lekin bemorning milka suyagi holatiga qarab o'zgarishi mumkin, Yonsei Ona Stomatologiyasi minimal implant bilan maksimal samaraga erishadigan loyiha tuzadi. 3D CT aniq diagnostikasidan keyin optimal son ma'lum qilinadi.
Suyak kam bo'lsa ham to'liq implant mumkinmi?
Ha, mumkin. Yonsei Ona Stomatologiyasi suyak ko'chirmasdan ham implant qilish texnologiyasiga ega. Raqamli yo'riqnoma tizimi bilan qolgan suyakning optimal joyini tahlil qilib, minimal suyak ko'chirish yoki suyak ko'chirmasdan jarrohlik o'tkaziladi. Boshqa stomatologiyalarda suyak yo'qligi sababli imkonsiz deb aytilgan ko'p bemorlar ham tashrif buyuradi.
Protezdan uzoq vaqt foydalandim, implantga almashtirishim mumkinmi?
Ha, almashtirishingiz mumkin. Protezdan uzoq vaqt foydalangan bo'lsangiz ham 3D CT bilan milka suyagi holatini aniq diagnostika qilib, implant imkoniyati aniqlanadi. Suyak so'rilgan bo'lsa ham raqamli yo'riqnoma texnologiyasi bilan qolgan suyakni maksimal darajada ishlatamiz, zarur bo'lsa minimal suyak ko'chirish bilan davom etamiz.
Jarrohlikdan keyin darhol ovqatlanish mumkinmi?
Ha, mumkin. Ichki laboratoriyada o'sha kuni tayyorlanadigan yuqori mustahkamlikdagi vaqtinchalik tish tufayli jarrohlikdan so'ng darhol yumshoq ovqatlar yeyish mumkin. Tishsiz o'tadigan kun bo'lmaydi va jarrohlikdan so'ng darhol kundalik hayotga qaytishingiz mumkin. Yakuniy protez Yonsei Universiteti Stomatologiya kasalxonasida ishlatiladigan bir xil laboratoriyada mamlakatdagi eng yuqori sifatda tayyorlanadi.
To'liq implant jarrohlik og'riqlimi?
Sedatsiya (uyqu anesteziyasi) orqali qulay sharoitda jarrohlik o'tkazilishi mumkin. Jarrohlik paytida deyarli og'riq sezilmaydi va jarrohlikdan keyin ham raqamli yo'riqnomali jarrohlikning minimal kesish usuli tufayli shish va og'riq oddiy jarrohlikka nisbatan sezilarli darajada kam bo'ladi. Buyurilgan og'riq qoldiruvchi dorilar bilan yetarli darajada boshqarish mumkin.













