WHY GUM CARE
Milk parvarishi
nima uchun muhim?
Milklar tishlarning asosidir
Asos mustahkam bo'lsa tishlar ham sog'lom bo'ladi
Kariesning oldini olish
Sog'lom milklar tish ildizini himoya qilib karies xavfini kamaytiradi
Tabiiy tish umrini uzaytirish
Milklar mustahkam bo'lsa tishlar qimirlamaydi va uzoq muddat foydalanish mumkin
Implant oldini olish
Milk parvarishi bilan tish sug'urishning oldini olsangiz qimmat implantdan qochishingiz mumkin
Davolash xarajatlarini tejash
Oldini olish davolashdan arzon Muntazam parvarish bilan katta xarajatlarni tejang
Milk parvarishi = Tish saqlash = Salomatlik + Tejamkorlik
Oldini olish eng yaxshi davolashdir
VIDEO
Milk salomatligi
haqida hamma narsa
Milk kasalliklarining sabablaridan
davolash va oldini olishgacha
Video tez orada keladi
Milk kasalligi,
faqat og'iz muammosi emas
Butun tana salomatligiga jiddiy ta'sir ko'rsatadigan
milk kasalliklarining xavfi
80
%
Kattalar orasida milk kasalligi darajasi
Koreya Periodontologiya Jamiyati 2024
14
%
Scaling qilganda yurak-qon tomir kasalligi kamayishi
Bundang Seul Universiteti kasalxonasi 2024
6
marta
Periodontit bo'lganda qand nazorati buzilishi
Katolik Universiteti Tibbiyot fakulteti 2023
Shuning uchun milk parvarishi muhim
Milk salomatligi - butun tana salomatligining boshlanishi
Muntazam parvarish bilan salomatligingizni saqlang
PHILOSOPHY
Yaxshi stomatologiya mezoni
Milk davolashni faol olib boradigan
stomatologiya yaxshi stomatologiyadir
Ko'pchilik kasalxonalar milk davolashdan
qochishining sababi
Tish sug'urib implant qo'yish ko'proq daromad keltiradi
Bemorlar milk davolash og'rig'ini yoqtirmaydi
Davolashdan keyin tish sug'urilsa shikoyat bo'lishi mumkin
Sarflangan vaqt va kuchga nisbatan daromad kam
Ona stomatologiyasi milk davolashni
davom ettirishining sababi
Tabiiy tishlarni saqlash har doim birinchi o'rinda
4 bosqichli og'riqsiz anesteziya bilan qulay davolash
Puxta scaling bilan to'g'ri davolash
Umrbod tish salomatligini birinchi o'ringa qo'yamiz
Tabiiy tishlarni saqlash
eng yaxshi davolashdir
Biroz noqulay bo'lsa ham muntazam milk parvarishi bilan
tabiiy tishlarni saqlash implantdan qimmatli tanlovdir
COMPARISON
Tish tozalash va skalering
yetarli emasmi?
Ikkala parvarish ham juda muhim
Lekin mukammal parvarish qiyin
Tish tozalash
Tish yuzasini toza saqlash mumkin
Tish toshini olib tashlab bo'lmaydi
Milk chizig'i ostiga yetib bormaydi
Skalering
Milk ustidagi tish toshini olib tashlash
Profilaktika va yengil davolash
Chuqur joylarni davolashda cheklov bor
Milk davolash
Milk ostidagi chuqur davolash
Ildiz tekislash orqali silliq qilish
Rivojlangan kasalliklarni davolash
Skalering vs Milk davolash
| Skalering | Milk davolash | |
|---|---|---|
| Doira | Milk usti (milk tepasida) | Milk osti (milk ostida) |
| Mazmun | Tish toshi va qatlamni olib tashlash | Kyuret ishlatish antibiotik malham |
| Maqsad | Profilaktika va yengil davolash | Profilaktika va o'rta-og'ir davolash |
| Davr | Yiliga 1 marta 19 yoshdan kattalar | Davolash kerak bo'lganda bo'lib o'tkaziladi |
Muntazam skalering va kerak bo'lganda milk davolash
orqali tabiiy tishlaringizni uzoq saqlang
TREATMENT SYSTEM
Faqat Ona stomatologiyasiga xos
milk davolash tizimi
Aniq jihozlar va tizimli yondashuv bilan
qulay va samarali davolashni taqdim etamiz
NSK varios 970 ultratovush skaleri
Yaponiya NSK kompaniyasining eng yangi ultratovush skaleri bilan milklar chuqurligidagi bakteriyalarni aniq olib tashlash
iPiezo dvigatel : Avtomatik chastota sozlash bilan barqaror quvvat
O'ta aniq uchi : Periodontal cho'ntak chuqurligiga kirib borish imkoniyati
Periocline antibiotik malham
Minosiklin tarkibli mahalliy antibiotik milklar chuqurligiga bevosita yuboriladi
Klinik tasdiqlangan : Mahalliy va xalqaro tadqiqot guruhlari tomonidan samaradorligi tasdiqlangan
Bir hafta davom etadi : Bir marta yuborish bilan dori ta'siri saqlanadi
Bakteriya kamayishi : Red Complex bakteriyalari 87.5% → 12.5%
4 bosqichli og'riq bartaraf etish tizimi
"Stomatologiya davolashi bu qadar qulay bo'lishi mumkinmi" ko'plab bemorlar hayratda qolgan tizim
1-bosqich : Chayqash anesteziyasi bilan og'iz bo'shlig'ini butunlay sezgisizlantirish
2-bosqich : Surtma anesteziyasi bilan ukol joyini to'sish
3-bosqich : Elektron anesteziya qurilmasi bilan bir xil tezlikda yuborish
4-bosqich : Nerv kanali anesteziyasi bilan to'liq to'sish
Og'riqsiz, to'g'ri davolaymiz
Eng yangi jihozlar + Og'riqsiz tizim = Qulay milk davolash
CASE STUDY
Haqiqiy davolash holatlari
Muntazam milk davolash orqali
implantsiz sog'lom tishlarni saqlash
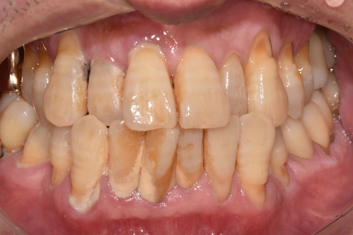
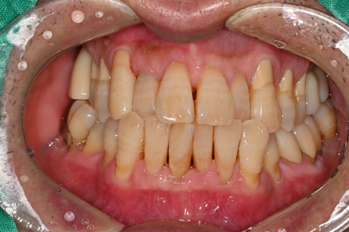
"Suyak juda ko'p yemirilgan edi,
milk davolash orqali suyak tiklanib ketdi"

Before

After
Og'ir milk kasalligi tufayli suyak ko'p yemirilgan holat
Milk davolash va suyak ko'chirish orqali suyak tiklanib, implant muvaffaqiyatli o'rnatildi
"Muntazam parvarish tufayli
50 yoshimda ham barcha tishlarim sog'lom"

Before

After
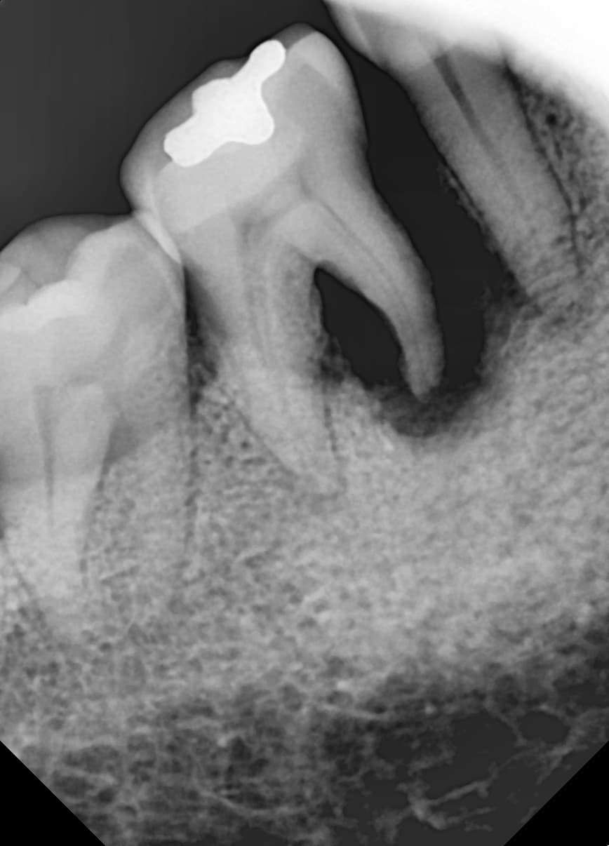
Tish toshi va milk yallig'lanishi og'ir bo'lgan holat
Muntazam scaling va parvarish orqali sog'lom holatda saqlanmoqda
Tabiiy tishlarni saqlash eng muhim
Implantdan ko'ra o'z tishingiz qimmatli
Yonsei Ona stomatologiyasida milklaringizni himoya qilamiz
5 ta Yonsei universiteti mutaxassisi hamkorligi
Yonsei Ona
eng yaxshi shifokorlari

Kim Yu-seong
Bosh shifokor · Shifoxona direktoriHozirgi: Yonsei universiteti klinik professor
Sog'liqni saqlash vazirligi tomonidan sertifikatlangan stomatologik protezlash mutaxassisi
Sog'liqni saqlash vazirligi tomonidan sertifikatlangan integratsiyalangan stomatologiya mutaxassisi
- Hozirgi: Yonsei Ona stomatologiya shifoxonasi direktori
- Yonsei universiteti stomatologiya fakultetini tamomlagan
- Yonsei universiteti stomatologiya shifoxonasi klinik amaliyoti
- Yonsei universiteti stomatologiya shifoxonasi intern
- Ajou universiteti stomatologiya shifoxonasi rezident
- Ajou universiteti periodontologiya va implant protezlash bo'yicha magistr
- Stomatologik protezlash bo'yicha sertifikatlangan shifokor (Sog'liqni saqlash vazirligi)
- Taiwan Bio tech maslahatchi shifokori
- Implant o'rnatish bo'yicha patent № 10-2537546
- Stomatologik stepler patenti ko'rib chiqilmoqda
- Advanced Cardiac Life Support provider (ACLS)
- Professional kardiopulmonal reanimatsiya sertifikati
- Koreya stomatologik protezlash jamiyati raqamli master kursini tamomlagan
- UCLA stomatologiya shifoxonasi externship
- Temporomandibular bo'g'im stimulyatsiya terapiyasi sertifikatlangan muassasa
- Jag' bo'g'imi kasalliklari bo'yicha ta'limni tamomlagan
- Jag' bo'g'imi kasalliklari ta'lim-tadqiqot jamiyati a'zosi
- Koreya stomatologik protezlash jamiyati a'zosi
- Koreya og'iz-jag' implantologiya jamiyati a'zosi
- Koreya estetik stomatologiya jamiyati a'zosi
- Koreya stomatologik konservativ davolash jamiyati a'zosi
- Oldingi: Boryeong Hana Implant bosh o'rinbosari
- Oldingi: Ace Dental bosh o'rinbosari
- Oldingi: Ansan Yonsei Dental bosh o'rinbosari

Kim Jin-hyeong
Bosh shifokorHozirgi: Yonsei universiteti klinik professor
Sog'liqni saqlash vazirligi tomonidan sertifikatlangan integratsiyalangan stomatologiya mutaxassisi
- Hozirgi: Yonsei Ona stomatologiya shifoxonasi bosh shifokor
- Yonsei universiteti stomatologiya fakultetini tamomlagan
- Yonsei universiteti stomatologiya shifoxonasi klinik amaliyoti
- Taiwan Bio tech maslahatchi shifokori
- Koreya jamoat sog'liqni saqlash shifokorlari assotsiatsiyasi stomatologiya vakili
- Temporomandibular bo'g'im stimulyatsiya terapiyasi sertifikatlangan muassasa
- Jag' bo'g'imi kasalliklari bo'yicha ta'limni tamomlagan
- Jag' bo'g'imi kasalliklari ta'lim-tadqiqot jamiyati a'zosi
- Koreya stomatologik protezlash jamiyati a'zosi
- Koreya og'iz-jag' implantologiya jamiyati a'zosi
- Koreya estetik stomatologiya jamiyati a'zosi
- Koreya stomatologik konservativ davolash jamiyati a'zosi
- UPenn Endodontics kursini tamomlagan
- Osstem master kursini tamomlagan
- Oldingi: Kasalliklarni nazorat qilish agentligi og'iz bo'shlig'ini tekshirish shifokori
- Oldingi: Dongbu qamoqxonasi tibbiyot bo'limi stomatologiya boshlig'i
- Oldingi: Smile365 bosh o'rinbosari
- Oldingi: Kim's Implant bosh o'rinbosari

Kim Tae-won
Bosh shifokorSog'liqni saqlash vazirligi tomonidan sertifikatlangan integratsiyalangan stomatologiya mutaxassisi
- Yonsei universiteti stomatologiya fakultetini tamomlagan
- Yonsei universiteti stomatologiya shifoxonasi klinik amaliyoti
- Cre'ad Endo kursini tamomlagan
- Osstem AIC Implant kursini tamomlagan
- Jag' bo'g'imi kasalliklari seminarini tamomlagan
- Jag' bo'g'imi kasalliklari ta'lim-tadqiqot jamiyati a'zosi
- Koreya integratsiyalangan stomatologiya jamiyati a'zosi
- Koreya estetik stomatologiya jamiyati a'zosi
- Oldingi: Su Dental Prosthetics Clinic bosh o'rinbosari
- Oldingi: Jungang Dental Clinic bosh o'rinbosari
- Oldingi: Gwanggyo 365 Lium Dental Hospital bosh shifokor

Kim Tae-uk
ShifokorSeul milliy universiteti stomatologiya fanlari magistri
- Seul milliy universiteti stomatologiya aspiranturasini tamomlagan
- Seul milliy universiteti stomatologiya shifoxonasi umumiy amaliyot bo'limi
- Temporomandibular bo'g'im terapiyasi sertifikatlangan shifokor
- Milliy sog'liqni saqlash sug'urtasi korporatsiyasi sertifikatlangan og'iz tekshiruvi shifokori
- UPenn Endodontics kursi
- Osstem AIC Implant Master kursini tamomlagan
- Dentis CTS Implant Gold kursini tamomlagan
- ATC estetik protezlash tadqiqot jamiyati a'zosi
- Amerika yurak assotsiatsiyasi BLS (Basic Life Support) provider
- Oldingi: Seoul Kunst Dental Clinic bosh o'rinbosari

Ryu Seung-min
Ortodontiya bosh shifokoriSog'liqni saqlash vazirligi tomonidan sertifikatlangan ortodontiya mutaxassisi
Yonsei universiteti stomatologiya fakultetini ikkinchi o'rin bilan tamomlagan
- Yonsei universiteti stomatologiya shifoxonasi intern / Ortodontiya rezidenturasini tamomlagan
- Koreya ortodontiya jamiyati sertifikatlangan shifokor va a'zosi
- Yonsei universiteti ortodontiya tadqiqot jamiyati (Sejeong) a'zosi
- Yonsei universiteti stomatologiya aspiranturasi magistr-doktorantura integratsiyalashgan dasturini tamomlagan (Ortodontiya)
- UCSF (Kaliforniya universiteti San-Fransisko), UOP (Tinch okeani universiteti) stomatologiya ortodontiya bo'limi almashinuv stajirovkasi
- Jahon ortodontiya federatsiyasi (WFO) Fellowship
- Amerika ortodontiya jamiyati (AAO) a'zosi
- Invisalign ta'limini tamomlagan
- Yonsei universiteti stomatologiya fakulteti Koreya stomatologlar assotsiatsiyasi prezidenti mukofoti
- Koreya ortodontiya jamiyati (KAO) rezidentlar ilmiy konferensiyasi eng yaxshi klinik holat
- Tayvan xalqaro ortodontiya jamiyati Koreya vakili sifatida tanlangan
- Tayvan xalqaro ortodontiya jamiyati (TAO), Osiyo-Tinch okeani ortodontiya jamiyati (APOS) og'zaki taqdimot bo'limi eng yaxshi klinik holat mukofoti
- Yonsei universiteti stomatologiya fakulteti ortodontiya kafedrasi Useok eng yaxshi rezident mukofoti
Maslahatchi shifokor

Choi Yeong-jin
Maslahatchi shifokorHozirgi: Chungang universiteti Gwangmyeong shifoxonasi og'iz-jag'-yuz jarrohligi professori
Hozirgi: Seul Asan shifoxonasi tashqi professor
- Ulsan universiteti aspiranturasi stomatologiya fanlari magistri
- Wonkwang universiteti stomatologiya fakultetini tamomlagan
- Seul milliy universiteti stomatologiya shifoxonasi intern
- Seul Asan shifoxonasi og'iz-jag'-yuz jarrohligi rezidenti
- Og'iz-jag'-yuz jarrohligi mutaxassisi (Sog'liqni saqlash vazirligi sertifikati)
- Integratsiyalangan stomatologiya mutaxassisi (Sog'liqni saqlash vazirligi sertifikati)
- Koreya jag'-yuz plastik va rekonstruktiv jarrohlik sertifikatlangan shifokor
- Koreya og'iz-jag'-yuz jarrohligi jamiyati a'zosi
- Koreya ikki jag' jarrohligi jamiyati a'zosi
- SCI maqola birinchi hammuallif (J Craniomaxillofac Surgery)
- Oldingi: Cheongyang jamoat sog'liqni saqlash markazi stomatologiya bo'limi boshlig'i
SLOGAN
Oilangiz uchun asosiy stomatolog,
OnA klinikasi.
Oilaning har bir a'zosiga munosabat bilan,
samimiy va vijdoniy davolash qilaman.
OnA klinikasining 5 ta va'dasi
Samimiy tarzda tashxis qilish va ortiqcha davolash qilmasligimiz.
Har doim tishlarni saqlab qolish uchun tadqiq qilishimiz.
Hech qanday qismni o'tkazmasdan ehtiyotkorlik bilan davolashimiz.
Bemorlarning og'riqsiz muolajaisi uchun ehtibor qilishimiz.
Steril asbob-uskunalar va jihozlar bilan toza davolash qilishimiz.
Nima uchun Yonsei Ona
eng yaxshi
Universitet darajasidagi
sharoitlar va xodimlar
Hozirgi tashqi professor va eng yuqori malakali
5 ta bosh shifokor zamonaviy uskunalarda hamkorlikda ishlaydi









Mashhur universitet
shifoxonalari bilan rasmiy hamkor
Universitet shifoxonasida davolanganidan keyin
bizning klinikamizda nazorat va turli klinik holatlarni almashish
Bundang Seul Milliy Universiteti shifoxonasi

Yonsei Severans shifoxonasi

Aju Universiteti shifoxonasi
Chungang Universiteti shifoxonasi

Dankuk Universiteti shifoxonasi
Faol ilmiy faoliyat
Universitet professorlari bilan aloqada bo'lib, rezidentlarni o'rgatamiz
va eng so'nggi klinik ma'lumotlar va tadqiqot tendensiyalarini kuzatib boramiz

Talaba klinik yo'riqnomasi (Dr. Kim Yu-seong)

Talaba klinik yo'riqnomasi (Dr. Kim Jin-hyeong)

89-Koreya Stomatologik Protezlash Jamiyati ilmiy konferensiyasi taqdimoti
Ustun klinik tajriba
Oddiy mahalliy stomatologiya klinikasini boshqarishdan ko'ra, biz doimiy ravishda ko'proq klinik tajriba to'plashda davom etmoqdamiz.
Eng so'nggi tadqiqot tendensiyalarini kuzatish
Universitet professorlari bilan aloqada bo'lib, rezidentlarni o'rgatish orqali eng so'nggi klinik ma'lumotlar va tadqiqot tendensiyalarini muntazam tekshiramiz.
Implant o'rnatish bo'yicha patent arizasi
Implant tadqiqotlariga jiddiy yondashamiz.
Yaxshiroq davolash uchun doimiy tadqiqot olib boramiz.

Stomatologik stepler uchun qo'shimcha patent arizasi berilmoqda

Stomatolog aytadigan
haqiqiy xavfsiz stomatologik davolash hikoyasi
Xalq og'iz sog'lig'i uchun kitob nashr etildi
To'g'ri stomatologik bilimlarni tarqatamiz
“Bemorlar stomatologiyadan qo'rqmasdan
to'g'ri ma'lumotlarni bilib, xotirjam davolanishlarini xohlayman”
- Dr. Kim Yu-seong, Bosh shifokor
365 kun davolash
Ish kunlari kechki qabul
Ko'p shifokorlar va katta klinika tufayli mumkin
Ish kunlari
Kechki qabul
Dam olish kunlari/Bayramlar
Normal qabul
Kechqurun yoki dam olish kunlarida ham
boshqa shifokorlar emas,
bosh shifokorlar bevosita qabul qiladi
Shifoxona tashqi ko'rinishi

Yonsei Ona Dental shifoxonasi
Sol Square binosi 2-qavat

Gyeonggi-do, Yongin-si, Giheung-gu, Guseong-dong, Sol Square binosi 2-qavat
Suin-Bundang liniyasi, GTX-A Guseong stansiyasi 2-chiqish, piyoda 5 daqiqa
Bizga qanday kelish mumkin
Gyeonggi-do, Yongin-si, Giheung-gu, Guseong-dong, Sol Square 2-qavat
Daiso Yongin Guseong do'koni ro'parasida
Guseong stansiyasidan: chapga burilish → Daisoni o'tib o'ngga burilish
Emart Traders dan: 1km to'g'ri
Sanghyeon stansiyasidan: o'ngga burilish → Suji pochta bo'limini o'tib 4km to'g'ri
Giheung hokimiyatidan: chapga burilish → Guseong uch yo'lini o'tib 2.4km o'ngga
Singal stansiyasidan: chapga burilish → Giheung-ro bo'ylab 2.2km
Giheung stansiyasidan: to'g'ri → Giheung-ro bo'ylab 4km
Mabuk-dongdan: chapga burilish → Emart Traders tomon 2km
Bora-dongdan: o'ngga burilish → Giheung-ro bo'ylab 5km
Dongbaek stansiyasidan: chapga burilish → Baekhyeon-ro bo'ylab 3.5km
Eonnam-dongdan: o'ngga burilish → Emart Traders tomon 1.5km
Bojeong stansiyasidan: chapga burilish → Suji IC tomon 2km
Suji IC dan: Guseong yo'nalishi → to'g'ri 1.5km
Qulay avtoturargoh mavjud
Sol Square yer osti 1-5 qavatlarida

※ Qabulxonada avtomobil raqamini ro'yxatdan o'tkazish shart
Yer osti 2 va 4-qavatlarda lift yo'q. (Yer osti 1, 3, 5-qavatlardan foydalanish tavsiya etiladi)
Yonsei Ona Dental mijozlar qulayligini birinchi o'ringa qo'yadi.
Qulay avtoturargohdan tortib shinam davolash xonalarigacha,
mijozlarga yo'naltirilgan stomatologiya yaratmoqdamiz.
Ish vaqti
Qulay usulda biz bilan bog'laning
Turli davolash usullari haqida
videolar ko'ring
Yonsei Ona bosh shifokoridan stomatologiya hikoyalari

Tibbiyot kanali Biondu da ishtirok
Yo Esther, Hong Hye-geol doktorning sog'liq dasturi

Keksalikda protezdan ozodlik kundaligi
All on X (Ol-on-Eks)
Yonsei Ona stomatologiya shifoxonasi protez bo'limi Kim Yu-seong
Kim Yu-seong bosh shifokor
to'liq implant davolash mutaxassisi sifatida ishtirok etib
All-on-X davolashni to'g'ridan-to'g'ri tushuntiradi
Ko'p so'raladigan savollar
Faqat tish tozalash yetarlimi?
Tish tozalash tish toshi olib tashlashning birinchi bosqichi. Lekin milka kasalligi rivojlangan bo'lsa, maxsus uskuna bilan milka ichidagi bakteriyalarni ham olib tashlaydigan aniq davolash kerak. 6 oy oralig'ida milka davolash olsangiz tabiiy tishlaringizni uzoq saqlashingiz mumkin.
Milka davolash og'riqli deyishadi, xavfsizmi?
Xavotir olmang. Yonsei Ona Stomatologiyasi ko'p bosqichli og'riqni kamaytirish tizimiga ega. Ko'p bemorlar "Stomatologiya davolash shunchalik qulay bo'lishi mumkin ekan" deb hayratda qolishadi. Noqulayliksiz davolash olishingiz uchun barcha imkoniyatlarni ishga solamiz.
Qanchalik tez-tez olish kerak?
Asosiy tish tozalash yiliga 1 marta (sug'urta qoplanadi), milka davolash har 6 oyda olish ideal. Milka holati og'ir bo'lsa 3 oy oralig'ida parvarish qilish yanada samaraliroq. Muntazam parvarish bilan implantsiz ham tabiiy tishlarni umrbod ishlatishingiz mumkin.
Sug'urta qanday qo'llaniladi?
Tish tozalash yiliga 1 marta sog'liqni saqlash sug'urtasi qoplanadi. Milka davolash kerak bo'lsa sug'urta olishingiz mumkin va bo'lib-bo'lib o'tkaziladi. Batafsil sug'urta qoplanish doirasi konsultatsiya orqali tushuntiriladi.
Nima uchun boshqa stomatologiyalar milka davolashni qilishni istamasaydi?
Ochig'ini aytsam, milka davolashdan ko'ra implant daromadliroq. Bundan tashqari milka davolashdan keyin oxir-oqibat tish olinsa bemorlarning noroziligi bo'lishi mumkin, shuning uchun ko'p stomatologiyalar saqlanadi. Lekin Yonsei Ona Stomatologiyasi tabiiy tishni saqlab qolishni birinchi o'ringa qo'yadi va hamkorlik tizimi bilan yuqori muvaffaqiyat darajasiga ega.



