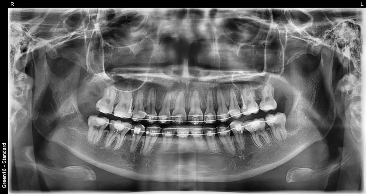
Барча турдаги аклий тишлар,
Биз барчасини синадик
Қанчалы қийин аклий тиш бўлмасин
Бизнинг техникасимиз ва тажрибамиз билан хавфсиз чикариб беримиз
5
shifokor
Mutaxassis shifokorlar hamkorligi
6
yil+
Universitet shifoxonasi tajribasi
365
kun
Hafta oxiri va bayramlarda ham xizmat
VIDEO QO'LLANMA
Aqlim tishini olish
haqida bu videoda barcha ma'lumotni bilib olasiz
Aqlim tishini olish vaqti, usuli va ehtiyotchiliklar haqida
barcha ma'lumotni batafsil tushuntiraman
Keyinroq video qo'shiladi
IMPORTANT MOMENTS
“
Kutilmay kelib qoldi aqlim tishi og'riq...
Tinchlik vaqtida oldindan hal etsa, muhim paytni saqlashingiz mumkin

Harbiy xizmat
Armiyada taacchuqiy og'riq muammosi

Imtihon davri
Muhim imtihondan oldin chang og'riqlari bort'ib ketdi

Nikoh · Suhbat
Hayotning muhim kuni yuz shuish tufayli...

Sayohat · Kelish
Xorijiy kasalxona qimmat davodan
SYMPTOMS
Aql tishi tufayli yuzaga kelishi mumkin bo'lgan alomatlar
Aql tishining o'sish shakli va joylashuviga qarab turli alomatlar paydo bo'lishi mumkin
Yotgan aql tishi
Yon tomonga qarab o'sadi va qo'shni tishni bosishi mumkin
Yallig'lanish paydo bo'lishi
E'tiborsiz qoldirilgan aql tishi tufayli milk shishib, yallig'lanishi mumkin
RISK LEVELS
Aql tishi holatiga qarab xavf darajasi

After
Past xavf
Oddiy aql tishi
Normal o'sgan aql tishi ham parvarish qilish qiyin bo'lgani uchun karies xavfi yuqori

After
O'rta xavf
Qisman ko'milgan aql tishi
Ovqat qoldiqlari yig'ilib qolishi oson va yallig'lanish tez-tez yuzaga keladi

After
Yuqori xavf
To'liq ko'milgan aql tishi
Kista hosil bo'lishi mumkin bo'lgani uchun erta sug'urib olish kerak

After
Yuqori xavf
Ortodontiya davrida aql tishi
Ortodontiya davolash jarayonida aql tishini sug'urib olish zarur bo'lgan holat
WHY US
Yonsei Ona Dental'da aql tishi olishning o'ziga xosligi
Boy aql tishi olish klinik tajribasi va tizimli yondashuv bilan biz boshqacha davolaymiz

Yetarli klinik tajriba
Integrativ stomatologiya mutaxassisi bosh shifokor tomonidan xavfsiz va aniq aql tishi olish

Bir zumda davolash tizimi
Diagnostikadan tortib tish olish va keyingi parvarishgacha bir kunda yakunlash

Og'riqni kamaytiruvchi anesteziya tizimi
Eng zamonaviy og'riqni kamaytiruvchi anesteziya uskunalari bilan og'riq xavotiri yo'q muolaja
Yuqori darajadagi tish olish
Yonsei universiteti 2 nafar tashqi professori murakkab hollarni o'zlari olib tashlaydi
Murakkab ko'milgan aql tishi - milkda chuqur yashiringan bo'lsa ham OK
Asabga yaqin aql tishi - asab shikastlanishi xavotiri yo'q xavfsiz olish
Gorizontal ko'milgan aql tishi - yonga yotgan murakkab hollarni ham bajara olamiz
Boy tish olish tajribasi bilan
yuqori darajadagi murakkablikni ham xavfsiz hal qilamiz
DENTAL PHOBIA CARE
Stomatologdan qo'rqasizmi?
Avval his-tuyg'ularingizni tushunamiz
Dr. Kim Yu-seong (Bosh shifokor) × Psixiatr mutaxassisi
Qo'rquv bilan kasallik uchun xavfsiz stomatologik davolash tizimi
Ko'plab stomatologiyalarda shunday deyishadi
"Xotirjam bo'ling, davom etarsiz, yaxshi bo'ladi"
"Uyqu terapiyasini qildiraylik. Narxi 20-30 ming so'm"
Juda passiv yoki juda faol yondashuv.
Uyqu terapiyasi qimmat,
umumiy kasallikli bemorlarga xavfli bo'lishi mumkin.
Faqat Yonsei Ona Dentalda
Qo'rquv darajasiga moslashgan parvarish
Qo'rquv darajasini baholash
Oddiy so'rovnoma emas, bemor qulay javob beradigan hamdardlik savollari bilan aniq daraja baholash
Ruhiy tinchlik kontenti
Psixiatr bilan birgalikda tayyorlangan ruhiy tinchlik videosi + Tell-Show-Do terapiyasi
Dori-darmon yordami
Alprazolam kabi xavfsiz tinchlantiruvchi dorilarni dalillarga asoslangan holda buyurish
Uyqu terapiyasi
Umumiy kasalliklar so'rovnomasidan so'ng xavfsizlik ta'minlash, aniq uskunalar bilan uyqu dori dozasini real vaqtda sozlash
Yonsei Onaning Stomatologik qo'rquv baholash so'rovnomasi
Davolashdan oldin bemor tashvish darajasini
5 savollik qisqa baholash bilan aniqlaymiz

Har bir bemorning ruhiy holatiga qarab davolash usuli sozlanadi
Tell-Show-Do terapiyasi
Faqat tushuntirish bilan tashvish yo'qolmaydi
Asboblarni bosqichma-bosqich ko'rish va ushlab ko'rishga imkon beramiz
Tell
Tushuntirish
Show
Ko'rsatish
Do
Sinash
Maxsus joy qulay davolash uchun

Dam olish operatsiya kutish xonasi
Qulay muhitda o'zingizni jamlashingiz mumkin bo'lgan maxsus kutish maydoni

Maxsus tiklanish xonasi
Sedatsiyadan so'ng qulay dam olishingiz mumkin bo'lgan alohida tiklanish maydoni
Ongli sedatsiya nima?
Biroz uyqusirayotgandek holatda muolaja olasiz va muolaja paytidagi voqealarni yaxshi eslay olmaysiz.
Ong saqlanib qolgan holatda taranglik yumshatilgani uchun davolash paytida o'z holatingizni ifoda eta olasiz va javob bera olasiz, shuning uchun xavfsiz.
Xavfsizlik
Ong saqlanib qolgan holatda muolaja
Mutaxassis qon bosimi, puls va kislorod darajasini tekshiradi
Jahon tan olingan dorilar ishlatiladi
Umumiy narkoz emas, shuning uchun nojo'ya ta'sirlar ancha past
Istalgan vaqtda uyg'onish uchun teskari dori mavjud
Qulaylik
Oddiy in'ektsiya bilan sedatsiya mumkin
Muolaja tugagandan so'ng faqat qulay his qoladi
Stomatologik davolashda ishonch beruvchi qulay xotiralar qoladi
Arzon va oddiy muolaja
Faqat Yonsei Ona Dentalda
Uyqu narkozi tizimi
Mutaxassis o'zi bajaradi
Narkoz tajribasiga ega stomatolog o'zi bajaradi
Tizimli oldindan so'rovnoma
Umumiy kasalliklar, dorilar va nafas olish salomatligi puxta tekshiriladi
Xavfsiz dorilar ishlatiladi
Xalqaro standartlarga javob beruvchi dorilar, tez tiklanish va kam nojo'ya ta'sirlar
Butun jarayon monitoringi
Kislorod darajasi va yurak urishi real vaqtda o'lchanib xavfsizlik boshqariladi
Davodan so'ng tiklanish xonasi
Tinch tiklanish xonasida to'liq dam olib uyga qaytish
Yonsei Onaning Infusion usuli
Oddiy klinikalar (Bolus usuli)
Dorini bir vaqtda yuborish, narkoz chuqurligini nazorat qilish qiyin va muammolar bo'lishi mumkin
Yonsei Ona (Infusion usuli)
KALS sertifikatli shifokor bemorning narkoz chuqurligini real vaqtda tekshirib, dori dozasini sozlaydi
KALS nima?
Korean Advanced Life Support
Koreya yurak-o'pka tirilish assotsiatsiyasi tomonidan tasdiqlanadigan Koreya ilg'or hayot qo'llab-quvvatlash sertifikati. Faqat shifokorlar va stomatologlar uchun mo'ljallangan favqulodda javob bo'yicha mutaxassislik o'quvi.

Yuqori narxli Infusion maxsus uskunasi bilan xavfsiz uyqu narkozi
"Stomatologdan qo'rqasizmi?"
Yonsei Ona Dentalda
tushunilgan va asta-sekin yengib o'ting
WHY NOW?
Nima uchun hozir oldirish kerak?
Aql tishini oldirilmaslik muammolari
O'tkir yallig'lanish
Kuchli og'riq va yuz shishishi
Qo'shni tishlarda karies
Yondagi tishlar ham shikastlanadi
Jag' bo'g'imi buzilishi
Surunkali bosh og'rig'i va jag' og'rig'i
Tish qatori buzilishi
Ortodontik davolash zarur bo'ladi
Erta oldirishning afzalliklari
Tez tiklanish
Yoshlik - tez tiklanish demak
Asoratlarning oldini olish
Yallig'lanish yo'q - xavfsiz
Xarajatlarni tejash
Muammo paydo bo'lishidan oldin davolash
Qulay muolaja
Yallig'lanish yo'q - anesteziya yaxshi ishlaydi
Chidab-chidab tez yordam xonasiga keluvchilar ko'p
Yallig'lanish kuchayib, tunda tez yordamga keluvchi bemorlar har hafta bor Oldindan oldirish bu azobning oldini oladi
5 ta Yonsei universiteti mutaxassisi hamkorligi
Yonsei Ona
eng yaxshi shifokorlari

Kim Yu-seong
Bosh shifokor · Shifoxona direktoriHozirgi: Yonsei universiteti klinik professor
Sog'liqni saqlash vazirligi tomonidan sertifikatlangan stomatologik protezlash mutaxassisi
Sog'liqni saqlash vazirligi tomonidan sertifikatlangan integratsiyalangan stomatologiya mutaxassisi
- Hozirgi: Yonsei Ona stomatologiya shifoxonasi direktori
- Yonsei universiteti stomatologiya fakultetini tamomlagan
- Yonsei universiteti stomatologiya shifoxonasi klinik amaliyoti
- Yonsei universiteti stomatologiya shifoxonasi intern
- Ajou universiteti stomatologiya shifoxonasi rezident
- Ajou universiteti periodontologiya va implant protezlash bo'yicha magistr
- Stomatologik protezlash bo'yicha sertifikatlangan shifokor (Sog'liqni saqlash vazirligi)
- Taiwan Bio tech maslahatchi shifokori
- Implant o'rnatish bo'yicha patent № 10-2537546
- Stomatologik stepler patenti ko'rib chiqilmoqda
- Advanced Cardiac Life Support provider (ACLS)
- Professional kardiopulmonal reanimatsiya sertifikati
- Koreya stomatologik protezlash jamiyati raqamli master kursini tamomlagan
- UCLA stomatologiya shifoxonasi externship
- Temporomandibular bo'g'im stimulyatsiya terapiyasi sertifikatlangan muassasa
- Jag' bo'g'imi kasalliklari bo'yicha ta'limni tamomlagan
- Jag' bo'g'imi kasalliklari ta'lim-tadqiqot jamiyati a'zosi
- Koreya stomatologik protezlash jamiyati a'zosi
- Koreya og'iz-jag' implantologiya jamiyati a'zosi
- Koreya estetik stomatologiya jamiyati a'zosi
- Koreya stomatologik konservativ davolash jamiyati a'zosi
- Oldingi: Boryeong Hana Implant bosh o'rinbosari
- Oldingi: Ace Dental bosh o'rinbosari
- Oldingi: Ansan Yonsei Dental bosh o'rinbosari

Kim Jin-hyeong
Bosh shifokorHozirgi: Yonsei universiteti klinik professor
Sog'liqni saqlash vazirligi tomonidan sertifikatlangan integratsiyalangan stomatologiya mutaxassisi
- Hozirgi: Yonsei Ona stomatologiya shifoxonasi bosh shifokor
- Yonsei universiteti stomatologiya fakultetini tamomlagan
- Yonsei universiteti stomatologiya shifoxonasi klinik amaliyoti
- Taiwan Bio tech maslahatchi shifokori
- Koreya jamoat sog'liqni saqlash shifokorlari assotsiatsiyasi stomatologiya vakili
- Temporomandibular bo'g'im stimulyatsiya terapiyasi sertifikatlangan muassasa
- Jag' bo'g'imi kasalliklari bo'yicha ta'limni tamomlagan
- Jag' bo'g'imi kasalliklari ta'lim-tadqiqot jamiyati a'zosi
- Koreya stomatologik protezlash jamiyati a'zosi
- Koreya og'iz-jag' implantologiya jamiyati a'zosi
- Koreya estetik stomatologiya jamiyati a'zosi
- Koreya stomatologik konservativ davolash jamiyati a'zosi
- UPenn Endodontics kursini tamomlagan
- Osstem master kursini tamomlagan
- Oldingi: Kasalliklarni nazorat qilish agentligi og'iz bo'shlig'ini tekshirish shifokori
- Oldingi: Dongbu qamoqxonasi tibbiyot bo'limi stomatologiya boshlig'i
- Oldingi: Smile365 bosh o'rinbosari
- Oldingi: Kim's Implant bosh o'rinbosari

Kim Tae-won
Bosh shifokorSog'liqni saqlash vazirligi tomonidan sertifikatlangan integratsiyalangan stomatologiya mutaxassisi
- Yonsei universiteti stomatologiya fakultetini tamomlagan
- Yonsei universiteti stomatologiya shifoxonasi klinik amaliyoti
- Cre'ad Endo kursini tamomlagan
- Osstem AIC Implant kursini tamomlagan
- Jag' bo'g'imi kasalliklari seminarini tamomlagan
- Jag' bo'g'imi kasalliklari ta'lim-tadqiqot jamiyati a'zosi
- Koreya integratsiyalangan stomatologiya jamiyati a'zosi
- Koreya estetik stomatologiya jamiyati a'zosi
- Oldingi: Su Dental Prosthetics Clinic bosh o'rinbosari
- Oldingi: Jungang Dental Clinic bosh o'rinbosari
- Oldingi: Gwanggyo 365 Lium Dental Hospital bosh shifokor

Kim Tae-uk
ShifokorSeul milliy universiteti stomatologiya fanlari magistri
- Seul milliy universiteti stomatologiya aspiranturasini tamomlagan
- Seul milliy universiteti stomatologiya shifoxonasi umumiy amaliyot bo'limi
- Temporomandibular bo'g'im terapiyasi sertifikatlangan shifokor
- Milliy sog'liqni saqlash sug'urtasi korporatsiyasi sertifikatlangan og'iz tekshiruvi shifokori
- UPenn Endodontics kursi
- Osstem AIC Implant Master kursini tamomlagan
- Dentis CTS Implant Gold kursini tamomlagan
- ATC estetik protezlash tadqiqot jamiyati a'zosi
- Amerika yurak assotsiatsiyasi BLS (Basic Life Support) provider
- Oldingi: Seoul Kunst Dental Clinic bosh o'rinbosari

Ryu Seung-min
Ortodontiya bosh shifokoriSog'liqni saqlash vazirligi tomonidan sertifikatlangan ortodontiya mutaxassisi
Yonsei universiteti stomatologiya fakultetini ikkinchi o'rin bilan tamomlagan
- Yonsei universiteti stomatologiya shifoxonasi intern / Ortodontiya rezidenturasini tamomlagan
- Koreya ortodontiya jamiyati sertifikatlangan shifokor va a'zosi
- Yonsei universiteti ortodontiya tadqiqot jamiyati (Sejeong) a'zosi
- Yonsei universiteti stomatologiya aspiranturasi magistr-doktorantura integratsiyalashgan dasturini tamomlagan (Ortodontiya)
- UCSF (Kaliforniya universiteti San-Fransisko), UOP (Tinch okeani universiteti) stomatologiya ortodontiya bo'limi almashinuv stajirovkasi
- Jahon ortodontiya federatsiyasi (WFO) Fellowship
- Amerika ortodontiya jamiyati (AAO) a'zosi
- Invisalign ta'limini tamomlagan
- Yonsei universiteti stomatologiya fakulteti Koreya stomatologlar assotsiatsiyasi prezidenti mukofoti
- Koreya ortodontiya jamiyati (KAO) rezidentlar ilmiy konferensiyasi eng yaxshi klinik holat
- Tayvan xalqaro ortodontiya jamiyati Koreya vakili sifatida tanlangan
- Tayvan xalqaro ortodontiya jamiyati (TAO), Osiyo-Tinch okeani ortodontiya jamiyati (APOS) og'zaki taqdimot bo'limi eng yaxshi klinik holat mukofoti
- Yonsei universiteti stomatologiya fakulteti ortodontiya kafedrasi Useok eng yaxshi rezident mukofoti
Maslahatchi shifokor

Choi Yeong-jin
Maslahatchi shifokorHozirgi: Chungang universiteti Gwangmyeong shifoxonasi og'iz-jag'-yuz jarrohligi professori
Hozirgi: Seul Asan shifoxonasi tashqi professor
- Ulsan universiteti aspiranturasi stomatologiya fanlari magistri
- Wonkwang universiteti stomatologiya fakultetini tamomlagan
- Seul milliy universiteti stomatologiya shifoxonasi intern
- Seul Asan shifoxonasi og'iz-jag'-yuz jarrohligi rezidenti
- Og'iz-jag'-yuz jarrohligi mutaxassisi (Sog'liqni saqlash vazirligi sertifikati)
- Integratsiyalangan stomatologiya mutaxassisi (Sog'liqni saqlash vazirligi sertifikati)
- Koreya jag'-yuz plastik va rekonstruktiv jarrohlik sertifikatlangan shifokor
- Koreya og'iz-jag'-yuz jarrohligi jamiyati a'zosi
- Koreya ikki jag' jarrohligi jamiyati a'zosi
- SCI maqola birinchi hammuallif (J Craniomaxillofac Surgery)
- Oldingi: Cheongyang jamoat sog'liqni saqlash markazi stomatologiya bo'limi boshlig'i
SLOGAN
Oilangiz uchun asosiy stomatolog,
OnA klinikasi.
Oilaning har bir a'zosiga munosabat bilan,
samimiy va vijdoniy davolash qilaman.
OnA klinikasining 5 ta va'dasi
Samimiy tarzda tashxis qilish va ortiqcha davolash qilmasligimiz.
Har doim tishlarni saqlab qolish uchun tadqiq qilishimiz.
Hech qanday qismni o'tkazmasdan ehtiyotkorlik bilan davolashimiz.
Bemorlarning og'riqsiz muolajaisi uchun ehtibor qilishimiz.
Steril asbob-uskunalar va jihozlar bilan toza davolash qilishimiz.
Nima uchun Yonsei Ona
eng yaxshi
Universitet darajasidagi
sharoitlar va xodimlar
Hozirgi tashqi professor va eng yuqori malakali
5 ta bosh shifokor zamonaviy uskunalarda hamkorlikda ishlaydi









Mashhur universitet
shifoxonalari bilan rasmiy hamkor
Universitet shifoxonasida davolanganidan keyin
bizning klinikamizda nazorat va turli klinik holatlarni almashish
Bundang Seul Milliy Universiteti shifoxonasi

Yonsei Severans shifoxonasi

Aju Universiteti shifoxonasi
Chungang Universiteti shifoxonasi

Dankuk Universiteti shifoxonasi
Faol ilmiy faoliyat
Universitet professorlari bilan aloqada bo'lib, rezidentlarni o'rgatamiz
va eng so'nggi klinik ma'lumotlar va tadqiqot tendensiyalarini kuzatib boramiz

Talaba klinik yo'riqnomasi (Dr. Kim Yu-seong)

Talaba klinik yo'riqnomasi (Dr. Kim Jin-hyeong)

89-Koreya Stomatologik Protezlash Jamiyati ilmiy konferensiyasi taqdimoti
Ustun klinik tajriba
Oddiy mahalliy stomatologiya klinikasini boshqarishdan ko'ra, biz doimiy ravishda ko'proq klinik tajriba to'plashda davom etmoqdamiz.
Eng so'nggi tadqiqot tendensiyalarini kuzatish
Universitet professorlari bilan aloqada bo'lib, rezidentlarni o'rgatish orqali eng so'nggi klinik ma'lumotlar va tadqiqot tendensiyalarini muntazam tekshiramiz.
Implant o'rnatish bo'yicha patent arizasi
Implant tadqiqotlariga jiddiy yondashamiz.
Yaxshiroq davolash uchun doimiy tadqiqot olib boramiz.

Stomatologik stepler uchun qo'shimcha patent arizasi berilmoqda

Stomatolog aytadigan
haqiqiy xavfsiz stomatologik davolash hikoyasi
Xalq og'iz sog'lig'i uchun kitob nashr etildi
To'g'ri stomatologik bilimlarni tarqatamiz
“Bemorlar stomatologiyadan qo'rqmasdan
to'g'ri ma'lumotlarni bilib, xotirjam davolanishlarini xohlayman”
- Dr. Kim Yu-seong, Bosh shifokor
365 kun davolash
Ish kunlari kechki qabul
Ko'p shifokorlar va katta klinika tufayli mumkin
Ish kunlari
Kechki qabul
Dam olish kunlari/Bayramlar
Normal qabul
Kechqurun yoki dam olish kunlarida ham
boshqa shifokorlar emas,
bosh shifokorlar bevosita qabul qiladi
Shifoxona tashqi ko'rinishi

Yonsei Ona Dental shifoxonasi
Sol Square binosi 2-qavat

Gyeonggi-do, Yongin-si, Giheung-gu, Guseong-dong, Sol Square binosi 2-qavat
Suin-Bundang liniyasi, GTX-A Guseong stansiyasi 2-chiqish, piyoda 5 daqiqa
Bizga qanday kelish mumkin
Gyeonggi-do, Yongin-si, Giheung-gu, Guseong-dong, Sol Square 2-qavat
Daiso Yongin Guseong do'koni ro'parasida
Guseong stansiyasidan: chapga burilish → Daisoni o'tib o'ngga burilish
Emart Traders dan: 1km to'g'ri
Sanghyeon stansiyasidan: o'ngga burilish → Suji pochta bo'limini o'tib 4km to'g'ri
Giheung hokimiyatidan: chapga burilish → Guseong uch yo'lini o'tib 2.4km o'ngga
Singal stansiyasidan: chapga burilish → Giheung-ro bo'ylab 2.2km
Giheung stansiyasidan: to'g'ri → Giheung-ro bo'ylab 4km
Mabuk-dongdan: chapga burilish → Emart Traders tomon 2km
Bora-dongdan: o'ngga burilish → Giheung-ro bo'ylab 5km
Dongbaek stansiyasidan: chapga burilish → Baekhyeon-ro bo'ylab 3.5km
Eonnam-dongdan: o'ngga burilish → Emart Traders tomon 1.5km
Bojeong stansiyasidan: chapga burilish → Suji IC tomon 2km
Suji IC dan: Guseong yo'nalishi → to'g'ri 1.5km
Qulay avtoturargoh mavjud
Sol Square yer osti 1-5 qavatlarida

※ Qabulxonada avtomobil raqamini ro'yxatdan o'tkazish shart
Yer osti 2 va 4-qavatlarda lift yo'q. (Yer osti 1, 3, 5-qavatlardan foydalanish tavsiya etiladi)
Yonsei Ona Dental mijozlar qulayligini birinchi o'ringa qo'yadi.
Qulay avtoturargohdan tortib shinam davolash xonalarigacha,
mijozlarga yo'naltirilgan stomatologiya yaratmoqdamiz.
Ish vaqti
Qulay usulda biz bilan bog'laning
Turli davolash usullari haqida
videolar ko'ring
Yonsei Ona bosh shifokoridan stomatologiya hikoyalari

Tibbiyot kanali Biondu da ishtirok
Yo Esther, Hong Hye-geol doktorning sog'liq dasturi

Keksalikda protezdan ozodlik kundaligi
All on X (Ol-on-Eks)
Yonsei Ona stomatologiya shifoxonasi protez bo'limi Kim Yu-seong
Kim Yu-seong bosh shifokor
to'liq implant davolash mutaxassisi sifatida ishtirok etib
All-on-X davolashni to'g'ridan-to'g'ri tushuntiradi
Ko'p so'raladigan savollar
Aql tishini olish shartmi?
Og'riq bo'lmasa ham milka ichida yallig'lanish, chirish, tish qatori buzilishiga sabab bo'lishi mumkin. 3D CT bilan aniq diagnostikadan so'ng zaruriyat aniqlanadi, oldindan olmasa o'tkir yallig'lanish, qo'shni tish shikastlanishi, jag' bo'g'imi muammolari yuzaga kelishi mumkin. Yosh bo'lgan sari tezroq tiklanish va asorat xavfi kamroq bo'ladi.
Murakkab aql tishini ham olish mumkinmi?
Ha, mumkin. Yonsei Ona Stomatologiyasi boy tish olish tajribasi va universitet kasalxonasi darajasidagi murakkab tish olish tizimiga ega. Gorizontal ko'milgan, to'liq ko'milgan va boshqa stomatologiyalarda katta kasalxonaga yuborilgan qiyin holatlar ham 3D CT aniq diagnostikasi bilan xavfsiz olinadi.
Aql tishini olish og'riqlimi?
Zamonaviy og'riqni kamaytirish anesteziya tizimi bilan jarayon paytida deyarli og'riq sezilmaydi. Tashvishlanayotgan bemorlar uchun sedatsiya (uyqu anesteziyasi) bilan qulay sharoitda jarayon o'tkazilishi mumkin. Jarayondan keyin shish va og'riq buyurilgan dorilar bilan yetarli darajada boshqariladi va yosh bo'lgan sari tezroq tiklanadi.
Aql tishini olgandan keyin nimaga e'tibor berish kerak?
Tish olgandan keyin issiq va qattiq ovqatlardan saqlaning va yumshoq ovqatlar yeying. 2-3 kun davomida og'ir jismoniy mashqlar va saunadan saqlaning, buyurilgan antibiotik va yallig'lanishga qarshi dorilarni muntazam qabul qiling. Tamponi 30 daqiqa-1 soat davomida tishlang va haddan tashqari tish yuvish yoki nay ishlatishdan saqlaning. Batafsil parvarish usullari jarayondan keyin tushuntiriladi.
Aql tishini olish tez amalga oshiriladimi?
3D CT suratga olish va diagnostikadan so'ng darhol tish olish mumkin. Bir marta tashrif buyurish tizimi bilan diagnostikadan tish olish va keyingi parvarishgacha bir marta tashrifda yakunlanadi. Lekin yallig'lanish kuchli bo'lsa yallig'lanishni davolashdan keyin tish olish xavfsizroq va shaxsning og'iz bo'shlig'i holatiga qarab shifokorlar optimal vaqtni ma'lum qiladi.







