연세온아치과
용인 · 임플란트병원장 직접 칼럼5년 추적 증례

디지털 가이드로 완성하는
전체 임플란트, 그리고 5년 추적

왜 ‘보철 주도 식립’이 장기 예후를 가르는가

안녕하세요. 연세대학교 치과병원 임상지도 외래교수이자 연세온아치과병원 용인점 병원장 김유성입니다. 전체 임플란트(전악 임플란트)는 단순히 “많이 심는 시술”이 아닙니다. 최종 보철물이 어디에, 어떤 형태로, 어떤 교합으로 들어갈지를 먼저 설계한 뒤 그 위치에 정확히 임플란트를 심는 보철 주도 식립 (restoratively driven placement)이 장기 성공의 본질입니다. 이번 칼럼에서는 대한치과보철학회지에 보고된 All-on-4 기반 무피판 디지털 가이드 수술 증례(Shin & Paek, J Korean Acad Prosthodont 2019) 를 바탕으로, 환자 입장에서 반드시 알아야 할 원리와 기준을 정리했습니다.

01

전체 임플란트의 성공은 ‘식립 위치’가 아니라 ‘보철 계획’에서 시작합니다

임플란트는 결국 보철물을 유지하기 위한 인공 치근입니다. 따라서 식립 위치는 잔존골의 모양이 아니라 최종 보철물의 형태와 교합에 의해 결정되어야 합니다. 잔존골 모양만 보고 심으면 당장은 편해 보여도, 보철을 올릴 때 힘의 방향이 어긋나 나사 풀림, 도재 파절, 임플란트 주위염으로 이어지기 쉽습니다.

수술 전 구강 내 사진과 방사선 마커가 삽입된 임시 총의치

[그림 1] 장기간 가철성 의치를 사용해 치조골 흡수가 심한 무치악 상태(위)와 CT 촬영을 위해 방사선 마커를 삽입한 임시 총의치(아래). 최종 보철물 형태를 먼저 확정하는 출발점입니다.

보철 주도 식립(Restoratively Driven Placement)이란

  • 1단계 — 최종 보철물 설계를 먼저 확정합니다. 임시 총의치 단계에서 안면 중심선, 교합 평면, 수직 고경, 스마일 라인을 먼저 결정합니다.
  • 2단계 — 그 보철물 위치에서 거꾸로 임플란트 축을 결정합니다. CBCT 데이터와 소프트웨어(NeoGuide 등) 상에서 보철물-임플란트-골의 3차원 관계를 분석합니다.
  • 3단계 — 결정된 위치에 정확히 식립합니다. 수술용 스텐트를 통해 계획한 각도·깊이·위치를 구강 내에서 재현합니다.

이 프로토콜을 적용하면 잔존골이 부족한 상황에서도 최종 보철의 기능·심미를 해치지 않는 식립이 가능해지고, 경사 식립과 All-on-4 같은 고난이도 술식을 안전하게 구현할 수 있습니다.

02

무피판 디지털 가이드 수술이란 — 절개를 줄이는 원리

3차원 영상과 소프트웨어 상의 임플란트 가상 식립 계획

[그림 2] CBCT로 얻은 3차원 해부학 정보를 소프트웨어에서 재구성하고, 보철 위치에 맞춰 임플란트의 길이·각도·식립 위치를 가상으로 설계합니다.

디지털 가이드 수술의 핵심은 “수술 전에 수술을 끝내 두는 것”입니다. CBCT로 촬영한 환자의 3차원 해부학 정보와, 임시 총의치에 내장한 방사선 마커를 중첩(스캔 데이터 중첩, superimposition)시켜 보철물 위치와 임플란트 축을 소프트웨어 상에서 최종 확정한 뒤, 그 계획대로 3D 프린팅 수술용 스텐트를 제작합니다.

① 정확도 (Accuracy)

계획된 식립각과 위치를 구강 내에서 재현할 수 있어, 후방 경사 식립·보철 축 정렬이 정밀하게 이루어집니다.

② 최소 침습 (Minimally Invasive)

피판 박리를 생략할 수 있어 출혈·부종·통증이 감소하고 회복이 빨라집니다. 수술 중 외상과 술후 불편감이 크게 줄어 고령 환자나 만성질환 환자에게 특히 유리합니다.

③ 예지성 (Predictability)

최종 보철물을 미리 디자인한 상태에서 식립하기 때문에, 수복 후 결과가 어긋날 가능성이 낮습니다. 즉시 부하(immediate loading) 계획도 안전하게 수립할 수 있습니다.

⚠️ 무피판 접근은 “모두에게” 맞는 것이 아닙니다. 치조골 폭이 극단적으로 좁거나, 절개 없이 접근이 불가능한 골 결손부는 해당 부위에 한해 최소 피판을 열어 골이식을 병행합니다. 참고 증례에서도 상악 좌측 소구치 영역은 골이식을 위해 부분 피판을 거상했습니다.

03

증례 해설 — 상악 6개, 하악 All-on-4(17° 경사)

참고 증례는 장기간 가철성 의치를 사용해 치조골 흡수가 심한 50대 여성 환자입니다. 고정성 보철을 원하지만 잔존골 조건이 불리한 전형적 상황이었습니다. 치료 설계는 다음과 같이 이루어졌습니다.

3D 프린팅으로 제작된 상·하악 수술용 스텐트(NeoGuide)

[그림 3] 소프트웨어에서 확정한 계획대로 제작된 상·하악 수술용 스텐트. 임플란트 식립 가이드 홀과 고정핀 슬롯이 3D 프린팅으로 정확히 재현됩니다.

하악 — All-on-4, 후방 임플란트 17° 경사 식립

하치조신경(inferior alveolar nerve) 손상을 피하면서 후방 지지를 확보하기 위해 후방 2개 임플란트를 17° 경사 식립했습니다. 경사 식립은 골이식 없이 후방 캔틸레버를 줄이는 효과가 있어, Maló 등이 발표한 All-on-4 개념의 핵심 원리입니다(Clin Implant Dent Relat Res 2003).

상악 — 대합을 견딜 6개 임플란트

하악에 식립되는 #32, #42 전방부의 교합력을 안정적으로 받기 위해, 상악 #11, #21에도 임플란트를 식립해 캔틸레버로 인한 보철물 부담을 줄이는 방식으로 배치했습니다. 상악 협측 골 흡수를 고려한 배치입니다.

임시 총의치와 퍼티 모형으로 제작한 교합 인덱스 — 수술용 스텐트를 구강 내 정확한 위치에 고정

[그림 3-2] 임시 총의치와 퍼티 모형을 이용해 상·하악 수술용 스텐트 사이에 교합 인덱스를 제작합니다. 이 인덱스가 있어야 스텐트를 구강 내 계획 위치에 정확히 안착·고정할 수 있습니다.

이처럼 상·하악을 독립적으로 설계하지 않고 “위·아래가 만나는 지점”을 기준으로 식립 위치를 결정하는 것이 보철 주도 식립의 본질입니다. 상악만, 하악만 따로 보면 최적이어도 두 개가 맞닿는 순간 힘의 방향이 어긋나는 일이 많기 때문입니다.

04

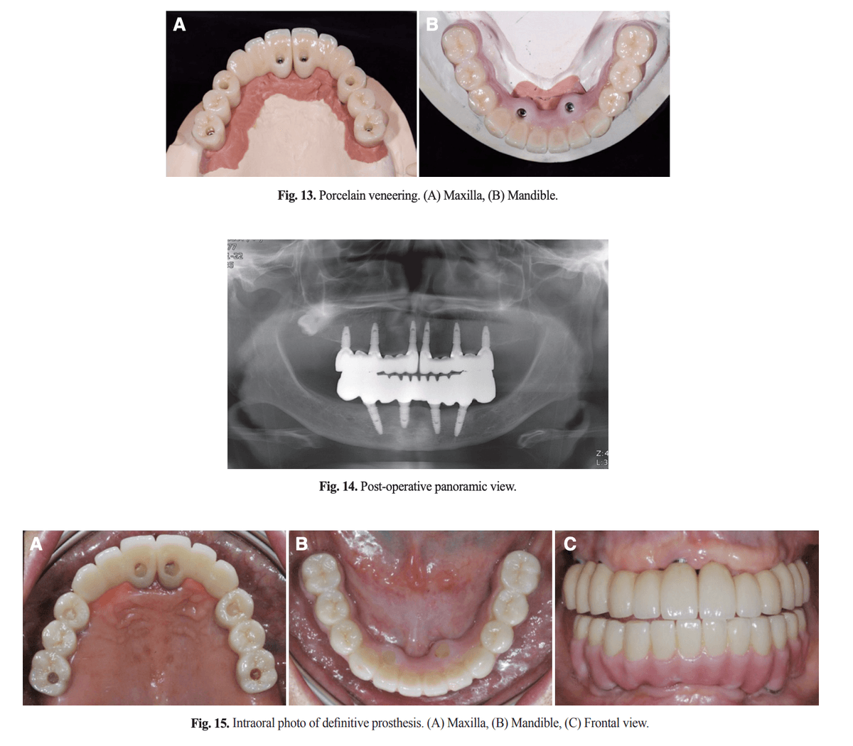
보철 제작 — 지르코니아 프레임 + 도재, 견치유도 교합

전치부 도재 축성, 장착 후 파노라마, 최종 보철물 구강 내 사진

[그림 4] 전치부 도재 축성이 완료된 상·하악 보철물(위), 장착 후 파노라마(가운데), 구강 내 장착 직후 사진(아래).

  • Shortened Dental Arch 개념 — 제1대구치까지만 수복해 구치부 교합력 분산과 위생 관리를 동시에 확보했습니다.
  • 견치유도 교합(Canine Guidance) — 측방 운동 시 견치만 접촉하게 해 구치부 보철에 걸리는 측방력을 최소화했습니다. 임플란트 보철의 기계적 합병증(나사 풀림·도재 파절) 예방의 핵심 원칙입니다.
  • 지르코니아 프레임 + 전치부 도재 축성 — 강도가 필요한 구치부는 지르코니아 단일 구조, 심미가 필요한 전치부는 도재 비니어로 완성했습니다. 프레임은 왁스업을 스캔하는 방식으로 제작해 측방운동 접촉점을 정밀 재현했습니다.

⚠️ 전악 수복에서 가장 흔한 장기 합병증은 도재 치핑(porcelain chipping)입니다(Goodacre 2003). 이를 줄이려면 ① 견치유도 등 보호 교합 설계, ② 측방·전방 접촉점 제어, ③ 주기적인 교합 재조정이 필수입니다.

05

5년 추적 결과 — 무엇이 장기 안정성을 만들었나

참고 증례(Shin & Paek, JKAP 2019)에서는 보철 장착 이후 5년간 도재 치핑이나 임플란트 주위염 같은 합병증 없이 변연골과 보철이 안정적으로 유지되었다고 보고되었습니다. 이런 결과가 나오기까지는 네 가지 요인이 복합적으로 작용했습니다.

  1. 보철 기반 식립으로 힘의 방향이 설계되어 있었다 — 보철이 임플란트 축과 일치하며, 캔틸레버가 최소화되었습니다.
  2. 해부학적 제약 안에서 경사 식립으로 후방 지지를 확보했다 — 하악 후방 17° 경사 식립으로 골이식 없이 후방 캔틸레버를 줄였습니다.
  3. 보호 교합 설계(견치유도)와 정밀한 측방 접촉 제어 — 측방 운동 시 구치부 보철에 걸리는 힘을 최소화했습니다.
  4. 수복 후의 꾸준한 유지관리 — 정기적인 교합 재조정, 위생 관리, 치주 상태 점검이 병행되었습니다.
06

전체 임플란트, 이런 병원을 선택하세요

  • 원내 CBCT 장비를 보유하고 3차원 분석을 직접 시연해 주는가
  • 임시 의치 단계에서 최종 보철물 형태를 먼저 설계하는가
  • 디지털 가이드 수술용 스텐트를 자체 또는 제휴 랩에서 제작하는가
  • 경사 식립, All-on-4/6 등의 설계 근거를 수치로 설명하는가
  • 측방·전방 교합양식(견치유도 등)을 계획 단계에서 제시하는가
  • 최종 보철은 지르코니아·도재 등 재료별 장단점을 함께 안내하는가
  • 수복 후 6개월/1년 단위 교합 재조정과 유지관리 프로그램이 있는가
  • 합병증(도재 치핑·나사 풀림·임플란트 주위염) 발생 시 대응 프로토콜이 명확한가

마치며

전체 임플란트의 장기 성공은 “얼마나 많이 심었느냐”가 아니라 “보철 위치에 맞춰 얼마나 정확히 심었느냐”에서 결정됩니다. 잔존골이 부족한 조건일수록 디지털 가이드 수술과 보철 주도 식립의 가치는 더 커집니다. 용인에서 전체 임플란트를 계획 중이시라면, 수술 기술 자체보다 진단·계획·보철 설계·유지관리의 흐름이 한 병원에서 일관되게 이어지는지를 확인해 보시길 권합니다.

— 연세온아치과병원 용인점 병원장 김유성 드림

참고 문헌: Shin M, Paek J. Flapless implant placement with digital 3D imaging and planning system in fully edentulous patient: A case report and 5-year follow-up. J Korean Acad Prosthodont 2019;57:312-20. doi.org/10.4047/jkap.2019.57.3.312

자주 묻는 질문

Q. 전체 임플란트(All-on-4/6)를 꼭 디지털 가이드 수술로 해야 하나요?

A. 반드시는 아니지만, 잔존골이 부족하거나 경사 식립이 필요하거나 보철물 형태를 사전에 확정한 상태에서 식립해야 하는 증례에서는 디지털 가이드의 임상적 이득이 매우 큽니다. 술자의 자유재량으로 17° 이상 경사진 임플란트를 해부학적 구조(하치조신경, 상악동, 이공 등)를 피하면서 보철 축과 일치시키는 일은 가이드 없이는 재현이 어렵습니다. 가이드 수술은 수술의 정확성, 수술 시간 단축, 무피판 접근을 통한 술후 불편감 감소라는 세 가지 이점을 동시에 제공합니다.

Q. All-on-4와 All-on-6 중 어느 쪽이 더 좋은가요?

A. 환자의 잔존골 양, 대합치 상태, 교합력, 보철물 확장 범위에 따라 달라집니다. 하악은 치조골 흡수가 상대적으로 적어 4개 임플란트의 교합력 분산이 가능하지만, 상악은 골밀도가 낮고 상악동 때문에 식립 가능 부위가 제한되어 6개 식립이 안전한 경우가 많습니다. "개수"가 아니라 "보철물에 가해지는 하중을 어떻게 분산시킬 것인가"를 기준으로 결정합니다.

Q. 무피판 수술은 정말 피판을 열지 않나요? 안전한가요?

A. 수술용 스텐트를 치조제에 정확히 안착시킨 뒤 가이드를 통해 드릴과 임플란트를 식립하기 때문에 잇몸을 절개·박리하는 통상적 피판 거상 과정을 생략할 수 있습니다. 출혈·부종·통증이 크게 줄고 회복이 빠른 것이 장점이지만, 전제 조건은 CBCT로 확인한 치조골 폭·높이가 안전 범위에 있고, 수술용 가이드가 견고하게 고정된다는 점입니다. 골 결손이 예상되는 일부 부위는 해당 영역만 최소 피판을 열어 골이식을 병행하기도 합니다.

Q. 전체 임플란트 수복까지 시간은 얼마나 걸리나요?

A. 증례에 따라 다르지만 진단·임시의치 제작·CBCT 및 가이드 제작에 약 3~4주, 임플란트 식립 후 골유착 대기 기간 3~6개월, 이후 최종 인상·왁스업·지르코니아 프레임·도재 축성을 거쳐 최종 보철 장착까지 전체 4~8개월이 일반적입니다. 본 칼럼의 참고 증례처럼 임시 총의치를 먼저 안정화한 뒤 디지털 계획을 수립하면 최종 결과의 예측 가능성이 크게 올라갑니다.

Q. 5년 뒤에도 안정적으로 유지된다고 보장할 수 있나요?

A. 어떤 시술도 100% 보장은 없습니다. 다만 "보철 기반 식립 + 해부학적 조건 충족 + 계획된 교합 양식 + 정기 유지관리"의 네 가지 조건이 갖춰지면 5년 이상 도재 파절이나 임플란트 주위염 없이 유지되는 사례가 임상적으로 충분히 보고됩니다. 장기 예후의 핵심은 수술 기술 자체보다 식립 전 보철 계획의 정밀함과, 수복 후 유지관리(교합 체크·스케일링·위생 교육)의 꾸준함에 있습니다.

연세온아치과

우리가족 치과 주치의

가족을 대하는 마음으로

정직하고 양심적인 진료

연세대 외래교수 2인 직접진료
과목별 원장 5인 협진 · 365일 진료 · 평일 야간진료

본 웹사이트의 치료 사례 및 후기는 개인의 경험에 따른 것으로, 치료 효과는 개인에 따라 다를 수 있습니다. 모든 의료 행위에는 출혈, 감염, 부종 등의 부작용이 발생할 수 있으며, 정확한 진단과 치료 계획은 반드시 전문의와 상담 후 결정하시기 바랍니다.

연세온아치과병원 용인점

대표 : 김유성

사업자등록번호 : 337-25-01976

주소 : 경기도 용인시 기흥구 마북동 360-9 2층

대표번호 : 031-275-2279

문의 : ysonaap@naver.com